Bạn tự tin với nụ cười trắng sáng khi nhìn vào gương, nhưng liệu bạn có bao giờ kiểm tra “mặt tối” của hàm răng mình? Rất nhiều người khi đến nha khoa khám tổng quát đã vô cùng ngạc nhiên khi bác sĩ cho xem hình ảnh mặt trong của các răng cửa dưới hoặc răng hàm: chúng phủ đầy những mảng màu đen sì, thô nhám. “Tại sao tôi đánh răng 2 lần mỗi ngày mà răng vẫn bị đen ở trong?” – Đây là câu hỏi tôi nhận được gần như mỗi ngày.
Răng bị đen mặt trong giống như một “tảng băng chìm”. Phần nổi bên ngoài có thể vẫn đẹp đẽ, nhưng phần chìm bên trong lại ẩn chứa những nguy cơ khôn lường cho sức khỏe răng miệng. Nó là nguyên nhân hàng đầu gây ra hơi thở có mùi khó chịu, khiến bạn mất tự tin trong giao tiếp cự ly gần, và tệ hơn là dẫn đến lung lay răng.
Trong bài viết chuyên sâu này, chúng ta sẽ cùng nhau bóc tách vấn đề:
- Thực chất lớp màu đen đó là gì? Vôi răng, màu thực phẩm hay sâu răng?
- Tại sao mặt trong răng lại dễ bị đen hơn mặt ngoài?
- Những phương pháp nào giúp loại bỏ mảng đen này an toàn và hiệu quả nhất?
- Chi phí để “tân trang” lại mặt trong của răng là bao nhiêu?
Hãy cùng tìm hiểu để bảo vệ nụ cười của bạn một cách toàn diện từ trong ra ngoài!
Tại sao răng lại bị đen ở mặt trong?
Nguyên nhân chính khiến răng bị đen mặt trong là do sự hình thành của cao răng huyết thanh (vôi răng biến tính do máu), sự bám dính của màu thực phẩm/thuốc lá trên bề mặt nhám, hoặc do sâu răng ở các kẽ và hố rãnh.
Mặt trong của răng, đặc biệt là nhóm răng cửa dưới, là nơi tập trung của các tuyến nước bọt lớn (tuyến dưới lưỡi, tuyến dưới hàm). Điều này khiến khu vực này luôn ẩm ướt và giàu khoáng chất, tạo điều kiện lý tưởng cho vôi răng hình thành nhanh hơn bất kỳ nơi nào khác. Dưới đây là 3 thủ phạm chính:
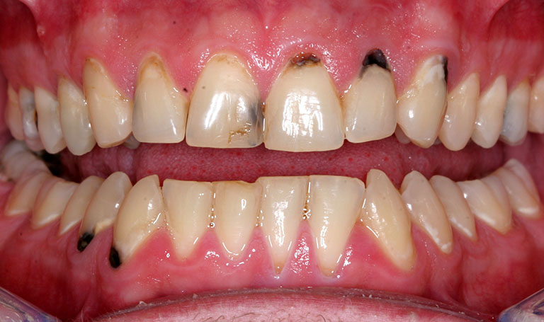
1. Cao răng huyết thanh – Kẻ thù số 1
Cao răng (vôi răng) thông thường có màu vàng nhạt. Tuy nhiên, khi nướu bị viêm và chảy máu, máu sẽ ngấm vào lớp cao răng xốp này. Hemoglobin trong máu khi bị oxy hóa sẽ chuyển sang màu đỏ sẫm hoặc đen. Hợp chất này bám chặt vào chân răng dưới nướu, tạo thành những mảng đen cứng chắc, rất khó làm sạch và chứa đầy vi khuẩn độc hại.
2. Mảng bám màu ngoại lai (Thuốc lá, Cà phê, Trà)
Mặt trong răng thường ít được chải kỹ lưỡng và ít chịu tác động làm sạch tự nhiên của môi/má như mặt ngoài. Do đó, nhựa thuốc lá (tar), tannin trong trà và cà phê rất dễ bám vào đây. Theo thời gian, chúng tích tụ thành lớp màng đen bao phủ bề mặt răng.
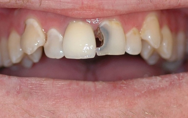
3. Sâu răng
Sâu răng không chỉ xảy ra ở mặt nhai. Các hố rãnh tự nhiên ở mặt trong răng cửa trên hoặc các kẽ răng là nơi thức ăn dễ mắc kẹt. Khi vi khuẩn phân hủy thức ăn, chúng tạo ra axit phá hủy men răng, tạo thành các lỗ sâu màu đen hoặc nâu đen.
Răng bị đen mặt trong có nguy hiểm không?
Răng bị đen mặt trong không chỉ gây mất thẩm mỹ mà còn là dấu hiệu cảnh báo các bệnh lý nguy hiểm như viêm nướu, viêm nha chu, hôi miệng nghiêm trọng và nguy cơ tụt lợi, tiêu xương dẫn đến mất răng.

Đừng chủ quan chỉ vì người khác không nhìn thấy mặt trong răng của bạn. Những mảng đen này là “bom nổ chậm” đối với sức khỏe răng miệng:
Gây hôi miệng dai dẳng
Lớp mảng bám đen là nơi trú ngụ của hàng tỷ vi khuẩn kỵ khí. Chúng phân hủy protein trong thức ăn và tế bào chết, giải phóng ra các hợp chất lưu huỳnh dễ bay hơi (VSC) có mùi trứng thối. Đây là lý do chính khiến nhiều người dù đánh răng rất kỹ nhưng hơi thở vẫn có mùi.
Viêm nướu và chảy máu chân răng
Cao răng huyết thanh màu đen có bề mặt sần sùi, kích thích nướu liên tục, gây viêm nướu mạn tính. Nướu sẽ trở nên sưng đỏ, nhạy cảm và chảy máu mỗi khi bạn chải răng hoặc dùng chỉ nha khoa.
Viêm nha chu và mất răng
Khi mảng đen lan sâu xuống dưới nướu, nó phá hủy dây chằng và xương ổ răng bao quanh (bệnh nha chu). Kết quả là nướu bị tụt xuống, chân răng lộ ra gây ê buốt, răng lung lay và cuối cùng là rụng răng.
> Xem thêm: Viêm Nha Chu: Hiểu Đúng Để Không Mất Răng Oan
Các phương pháp điều trị răng bị đen mặt trong hiệu quả nhất?
Tùy thuộc vào nguyên nhân gây đen (do vôi răng, màu thực phẩm hay sâu răng), bác sĩ sẽ chỉ định phương pháp phù hợp như cạo vôi răng siêu âm, đánh bóng thổi cát hoặc trám răng thẩm mỹ.

Việc tự ý cạy hoặc dùng các mẹo dân gian (chanh, than tre…) để tẩy mảng đen tại nhà thường không hiệu quả và có thể làm mòn men răng. Dưới đây là bảng so sánh các giải pháp chuyên khoa:
| Phương pháp | Nguyên nhân áp dụng | Cơ chế | Chi phí tham khảo |
|---|---|---|---|
| Cạo vôi răng (Scaling) | Cao răng, vôi răng huyết thanh cứng chắc. | Dùng sóng siêu âm rung lắc để làm vỡ liên kết vôi răng mà không hại men răng. | 300.000 – 800.000 VNĐ |
| Thổi cát (Air Polishing) | Mảng bám màu (thuốc lá, cà phê) bám chặt trên bề mặt. | Phun hỗn hợp bột, khí và nước áp lực cao để đánh bay vết ố màu ở mọi ngóc ngách. | 200.000 – 500.000 VNĐ |
| Trám răng (Filling) | Sâu răng (lỗ hổng màu đen/nâu). | Làm sạch mô sâu và hàn lại bằng vật liệu Composite trùng màu răng. | 300.000 – 500.000 VNĐ/răng |
| Bọc răng sứ | Răng chết tủy đổi màu đen từ bên trong. | Mài nhỏ răng và chụp mão sứ lên để che màu và bảo vệ. | 1.000.000 – 8.000.000 VNĐ/răng |
> Xem thêm: Cạo Vôi Răng: Tất Cả Sự Thật Về "Tổng Vệ Sinh" Răng Miệng
Quy trình làm sạch mảng bám đen tại nha khoa diễn ra như thế nào?
Quy trình xử lý răng bị đen mặt trong thường diễn ra nhanh chóng trong khoảng 30-45 phút, bao gồm các bước: Thăm khám, Cạo vôi siêu âm, Thổi cát đánh bóng và Hướng dẫn vệ sinh.
Rất nhiều người sợ đau nên ngại đi lấy cao răng. Tuy nhiên, với công nghệ hiện đại, trải nghiệm này đã trở nên rất nhẹ nhàng.
- Bước 1: Thăm khám tổng quát: Bác sĩ xác định nguyên nhân gây đen răng là do vôi răng hay sâu răng để có phương án xử lý.
- Bước 2: Cạo vôi răng siêu âm: Sử dụng đầu máy Piezotome hoặc Ultrasonic với độ rung nhẹ nhàng để làm bong các mảng cao răng huyết thanh cứng đầu bám dưới nướu mà không gây tổn thương mô mềm.
- Bước 3: Thổi cát & Đánh bóng: Đây là bước quan trọng để loại bỏ các mảng màu bám dính (như nhựa thuốc lá) mà máy cạo vôi không làm sạch hết được. Sau đó, răng được đánh bóng để bề mặt láng mịn, hạn chế mảng bám tái tụ.
- Bước 4: Sát khuẩn: Bơm rửa túi nướu (nếu có viêm) bằng dung dịch sát khuẩn chuyên dụng.
Làm thế nào để ngăn ngừa tình trạng đen mặt trong răng quay trở lại?
Để ngăn ngừa răng bị đen trở lại, bạn cần chú trọng vệ sinh mặt trong của răng, sử dụng chỉ nha khoa, hạn chế thực phẩm gây màu và quan trọng nhất là lấy cao răng định kỳ 6 tháng/lần.

Thay đổi thói quen chải răng
Hầu hết chúng ta thường chải rất kỹ mặt ngoài nhưng lại lơ là mặt trong. Hãy thay đổi ngay hôm nay:
- Dựng đứng bàn chải khi chải mặt trong của răng cửa trên và dưới.
- Chải kỹ vùng cổ răng tiếp giáp với nướu (nơi cao răng dễ bám nhất).
- Sử dụng bàn chải điện để tăng hiệu quả làm sạch mảng bám.
Sử dụng chỉ nha khoa và máy tăm nước
Mảng bám đen thường bắt đầu từ kẽ răng lan ra. Chỉ nha khoa và máy tăm nước là “bộ đôi hoàn hảo” để làm sạch kẽ răng mà bàn chải không với tới được.
Kiểm soát chế độ ăn uống
- Súc miệng bằng nước lọc ngay sau khi uống cà phê, trà, nước ngọt có gas.
- Hạn chế hoặc bỏ thuốc lá – nguyên nhân hàng đầu gây đen răng và bệnh nha chu.
- Ăn nhiều rau củ giòn (táo, cà rốt, cần tây) giúp làm sạch răng tự nhiên.
NHA KHOA OTIS – GIẢI PHÁP LÀM SẠCH RĂNG ÊM ÁI & TRIỆT ĐỂ
Tại Nha khoa Otis, chúng tôi hiểu rằng nỗi sợ ê buốt là rào cản lớn nhất khiến bạn ngại đi lấy cao răng. Đó là lý do chúng tôi đầu tư hệ thống máy cạo vôi siêu âm Piezotome hiện đại nhất, kết hợp với công nghệ thổi cát Prophy-Mate, giúp loại bỏ sạch sẽ cả những mảng bám đen cứng đầu nhất ở mặt trong răng một cách nhẹ nhàng, không đau, không ê buốt. Đội ngũ bác sĩ của chúng tôi sẽ không chỉ làm sạch răng cho bạn mà còn tư vấn tận tình cách chăm sóc để nụ cười của bạn luôn khỏe mạnh từ trong ra ngoài.
- Địa chỉ: Số 25H Nguyễn Bỉnh Khiêm, phường Sài Gòn, Tp. HCM
- SĐT: 0888.625.825
- Fanpage: https://www.facebook.com/nhakhoaOtis/
- Website: otisdental.vn
