Rời khỏi phòng khám nha khoa sau khi nhổ răng, một chương mới bắt đầu: [...]
Sau khi nhổ răng, đặc biệt là nhổ răng khôn, việc cảm thấy đau, sưng [...]
Đối với những người có nỗi sợ hãi tột độ với nha khoa, phương pháp [...]
Cuộc sống bận rộn đôi khi mang đến những tình huống trớ trêu: ngày bạn [...]
Sau một ca nhổ răng, đặc biệt là nhổ răng khôn, việc ăn uống trở [...]
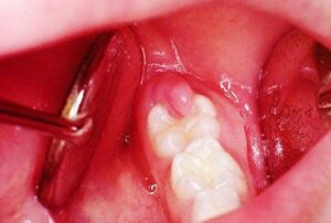
Răng khôn, chiếc răng mọc lên sau cùng, thường đi kèm với những cơn đau [...]
Niềng răng trong suốt đã mở ra một kỷ nguyên mới cho ngành chỉnh nha, [...]
Sau khi dũng cảm vượt qua ca tiểu phẫu nhổ răng khôn, bạn thở phào [...]
Lên kế hoạch cho một ca nhổ răng khôn không chỉ là chuẩn bị tâm [...]
Khi bạn nhận được “bản án” rằng cả 4 chiếc răng khôn đều cần phải [...]