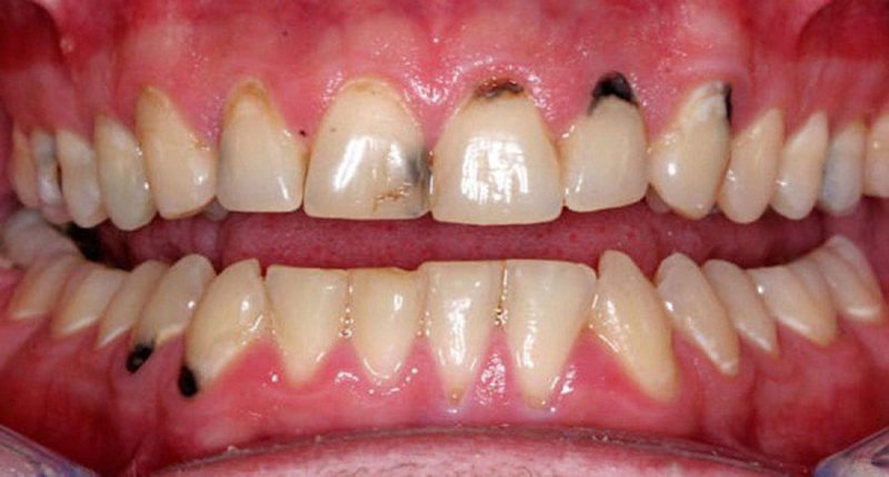
Răng cửa bị đổi màu là tình trạng men răng hoặc ngà răng thay đổi sắc thái sang vàng, nâu, xám hoặc đen do các tác nhân bên ngoài (thực phẩm, thuốc lá) hoặc tổn thương bên trong (chết tủy, nhiễm kháng sinh). Tình trạng này có thể khắc phục triệt để bằng các phương pháp như tẩy trắng răng, dán sứ Veneer hoặc bọc răng sứ thẩm mỹ.
Chào bạn, tôi là bác sĩ nha khoa tại Otis Dental. Hãy tưởng tượng bạn đang chuẩn bị cho một cuộc họp quan trọng hoặc một buổi hẹn hò lãng mạn, nhưng khi soi gương, bạn chợt nhận ra chiếc răng cửa bị đổi màu xám xịt hoặc vàng ố so với những chiếc răng còn lại. Cảm giác lúc đó chắc hẳn là sự tự ti và lo lắng tột độ. Bạn tự hỏi: “Tại sao nó lại đổi màu? Mình có đang mắc bệnh gì nghiêm trọng không?”.
- Răng cửa bị đổi màu là dấu hiệu cảnh báo bệnh lý gì?
- Những nguyên nhân khiến răng cửa bị đổi màu phổ biến nhất hiện nay?
- Các phương pháp điều trị răng cửa bị đổi màu hiệu quả nhất là gì?
- Quy trình xử lý răng cửa bị đổi màu tại nha khoa diễn ra như thế nào?
- Làm thế nào để phòng ngừa răng cửa bị đổi màu bền vững?
Trong hơn 10 năm hành nghề, tôi đã tiếp nhận hàng ngàn ca răng cửa bị đổi màu. Có những trường hợp chỉ là do thói quen uống cà phê mỗi sáng, nhưng cũng có những ca là lời “kêu cứu” của một buồng tủy đã chết sau một chấn thương cũ mà bệnh nhân vô tình quên bẵng. Nụ cười là “vốn liếng” ngoại giao quan trọng nhất của người trưởng thành, và một chiếc răng cửa lạc tông có thể làm sụt giảm 80% sự tự tin của bạn.
Bài viết này không chỉ dừng lại ở việc chỉ ra nguyên nhân. Tôi sẽ cùng bạn đi sâu vào cơ chế sinh học đằng sau những vết ố, phân tích tại sao phương pháp tẩy trắng thông thường lại thất bại với một số loại răng, và quan trọng nhất là đưa ra lộ trình “lột xác” nụ cười hoàn hảo nhất. Hãy cùng tôi giải mã bí ẩn của những chiếc răng đổi màu để tìm lại sự rạng rỡ vốn có của bạn nhé!
Răng cửa bị đổi màu là dấu hiệu cảnh báo bệnh lý gì?
Sự thay đổi màu sắc ở răng cửa thường là tín hiệu của các vấn đề từ nhẹ đến nặng như mòn men răng, sâu răng mặt bên, chết tủy răng hoặc tình trạng nhiễm Fluoride quá mức.
Khi bạn thấy răng cửa bị đổi màu, cơ thể đang gửi đi một thông điệp y khoa. Tùy thuộc vào sắc thái màu sắc mà chúng ta có thể dự đoán được bệnh lý tiềm ẩn. Với tư cách bác sĩ, tôi chia các dấu hiệu này thành hai nhóm: Đổi màu ngoại sinh (trên bề mặt men) và Đổi màu nội sinh (từ sâu trong cấu trúc răng).
Nếu răng chỉ hơi vàng đều, có thể bạn chỉ cần lấy cao răng và tẩy trắng. Nhưng nếu chỉ duy nhất một chiếc răng cửa bị đổi màu xám hoặc hơi tím, đó thường là dấu hiệu của sự hoại tử mô tủy. Vi khuẩn đã tấn công và làm ngắt quãng nguồn nuôi dưỡng răng, khiến huyết sắc tố phân hủy và thấm vào các ống ngà răng. Đây là tình trạng cần được xử lý nội nha gấp để tránh áp xe chân răng.
💡 Mẹo của chuyên gia: Hãy dùng đèn pin điện thoại soi từ mặt sau của răng cửa ra trước. Nếu thấy vùng tối bên trong thân răng, rất có thể răng đã bị sâu mặt bên hoặc chết tủy mà bạn không hề hay biết.
Răng cửa bị đổi màu xám hoặc đen có phải do chết tủy không?
Đúng, đây là dấu hiệu điển hình nhất của tình trạng chết tủy (hoại tử tủy). Khi tủy không còn sống, răng mất đi nguồn dưỡng chất và trở nên tối màu dần theo thời gian.
Tôi từng gặp một bệnh nhân nam bị té ngã cách đây 5 năm, lúc đó răng không gãy nên anh ấy chủ quan. Đến nay, chiếc răng cửa bị đổi màu đen sạm. Kết quả phim chụp X-quang cho thấy tủy đã chết hoàn toàn và bắt đầu có dấu hiệu tiêu xương vùng chóp. Khi tủy răng chết, các sản phẩm phân hủy của hồng cầu len lỏi vào các ống ngà li ti, tạo nên màu sắc kém thẩm mỹ. Trong trường hợp này, việc tẩy trắng răng thông thường sẽ hoàn toàn vô tác dụng.
Tại sao răng cửa bị đổi màu vàng ố sau khi uống kháng sinh Tetracycline?
Tetracycline kết hợp với Canxi trong men răng tạo thành một phức hợp màu sắc bền vững bám sâu vào ngà răng, gây ra các dải màu vàng, nâu hoặc xám loang lổ.
Đây là nỗi ám ảnh của thế hệ 7x, 8x tại Việt Nam. Kháng sinh Tetracycline khi được sử dụng cho trẻ em hoặc phụ nữ mang thai sẽ tích tụ vĩnh viễn vào cấu trúc răng đang hình thành. Răng cửa bị đổi màu do kháng sinh thường có dạng dải ngang, màu sắc rất sẫm và không thể làm trắng bằng hóa chất.
> Xem thêm: Tẩy trắng răng nhiễm Tetracycline có hiệu quả không?
Những nguyên nhân khiến răng cửa bị đổi màu phổ biến nhất hiện nay?
Nguyên nhân gây đổi màu răng cửa bao gồm thói quen ăn uống đồ đậm màu, hút thuốc lá, lão hóa tự nhiên, chấn thương răng và vệ sinh răng miệng chưa đúng cách.

Để tìm ra cách điều trị dứt điểm răng cửa bị đổi màu, chúng ta cần “bắt đúng bệnh”. Dưới đây là phân tích chi tiết các tác nhân hàng đầu:
Chế độ ăn uống ảnh hưởng thế nào đến việc răng cửa bị đổi màu?
Thực phẩm giàu sắc tố (Chromogens) và axit như cà phê, trà, rượu vang đỏ và nước ngọt có ga là những “kẻ thù” hàng đầu làm men răng xỉn màu nhanh chóng.
Men răng tuy cứng nhưng lại có cấu trúc xốp với hàng triệu ống ngà nhỏ. Các phân tử màu từ thực phẩm sẽ lắng đọng vào các khe hở này. Theo thời gian, nếu không được làm sạch định kỳ, các vết ố sẽ bám sâu hơn, khiến răng cửa bị đổi màu vàng đậm. Đặc biệt, thói quen hút thuốc lá với nhựa thuốc (tar) sẽ tạo thành các vệt đen bám cực chắc vào cổ răng cửa, rất khó loại bỏ bằng bàn chải thường.
Chấn thương có làm răng cửa bị đổi màu đột ngột không?
Có, chấn thương mạnh có thể gây đứt mạch máu nuôi dưỡng tủy hoặc làm nứt men răng, dẫn đến hiện tượng răng ngả sang màu xám hoặc hồng chỉ sau một thời gian ngắn.
Một cú va chạm trực tiếp vào vùng miệng khi chơi thể thao hoặc tai nạn có thể làm răng bị “sốc”. Phản ứng của răng lúc này thường là hình thành lớp ngà răng thứ cấp dày đặc để tự bảo vệ (làm răng vàng đậm hơn) hoặc xuất huyết nội tủy (làm răng cửa bị đổi màu xám/tím). Nếu bạn thấy răng đổi màu sau một va chạm, hãy đi chụp phim ngay để kiểm tra độ ổn định của chân răng.
> Xem thêm: Cách xử lý răng cửa bị chấn thương, lung lay kịp thời
Các phương pháp điều trị răng cửa bị đổi màu hiệu quả nhất là gì?
Tùy mức độ đổi màu, nha sĩ sẽ chỉ định tẩy trắng răng công nghệ Laser (cho vết ố nhẹ), dán sứ Veneer (cho răng sứt mẻ/nhiễm màu nhẹ) hoặc bọc răng sứ (cho răng hỏng tủy/nhiễm màu nặng).
Tin vui là với sự phát triển của nha khoa thẩm mỹ, không có trường hợp răng cửa bị đổi màu nào là không thể khắc phục. Tuy nhiên, việc chọn đúng phương pháp sẽ giúp bạn tiết kiệm chi phí và bảo tồn răng thật tối đa. Dưới đây là bảng so sánh các giải pháp hiện đại:
| Phương pháp | Trường hợp áp dụng | Ưu điểm | Độ bền |
|---|---|---|---|
| Tẩy trắng Laser | Đổi màu do thực phẩm, thuốc lá nhẹ. | Nhanh chóng (60p), không xâm lấn. | 1 – 2 năm |
| Dán sứ Veneer | Răng nhiễm màu, thưa, mẻ nhẹ. | Thẩm mỹ đỉnh cao, mài răng cực ít (0.3mm). | 10 – 15 năm |
| Bọc răng sứ | Răng chết tủy, đen nặng, nhiễm Tetracycline. | Che màu tuyệt đối, bảo vệ răng thật. | 15 – 20 năm |
| Tẩy trắng nội tủy | Răng cửa bị đổi màu xám do chết tủy. | Làm trắng từ bên trong buồng tủy. | Tùy cơ địa |
Tẩy trắng răng có giúp khắc phục răng cửa bị đổi màu hoàn toàn?
Tẩy trắng chỉ hiệu quả với các vết ố ngoại sinh; đối với răng nhiễm kháng sinh nặng hoặc chết tủy, tẩy trắng thông thường không thể mang lại màu sắc trắng sáng như ý.
Nhiều khách hàng đến Otis Dental đòi tẩy trắng cho chiếc răng cửa bị đổi màu xám do chết tủy. Tôi phải giải thích rằng thuốc tẩy trắng chỉ tác động lên các phân tử màu ở men răng. Với răng chết tủy, sắc tố đen nằm ở sâu trong ngà răng. Phương án tối ưu nhất là phải điều trị tủy trước, sau đó thực hiện tẩy trắng nội tủy hoặc bọc sứ để đạt được sự đồng nhất màu sắc với các răng bên cạnh.
Dán sứ Veneer hay bọc sứ cho răng cửa bị đổi màu nặng?
Dán sứ Veneer dành cho ai muốn bảo tồn răng thật tối đa, còn bọc răng sứ là “cứu cánh” duy nhất cho những răng bị đen sậm hoặc đã điều trị tủy.
Nếu bạn chỉ bị răng cửa bị đổi màu vàng nhẹ nhưng muốn một nụ cười “chuẩn celeb”, Veneer là lựa chọn số 1. Miếng sứ mỏng như kính áp tròng sẽ được dán lên mặt trước của răng. Tuy nhiên, nếu chiếc răng đó quá đen, màu đen bên dưới sẽ ánh qua lớp sứ mỏng của Veneer. Lúc này, bọc sứ với độ dày lớn hơn mới có thể che phủ hoàn toàn khuyết điểm sắc tố.
> Xem thêm: Dán sứ Veneer không mài răng: Giải pháp thẩm mỹ hiện đại
Quy trình xử lý răng cửa bị đổi màu tại nha khoa diễn ra như thế nào?
Quy trình xử lý chuẩn bao gồm: Thăm khám bằng công nghệ AI, thiết kế nụ cười 3D, điều trị bệnh lý (nếu có) và thực hiện phục hình thẩm mỹ.

Tại Otis Dental, chúng tôi áp dụng quy trình 4 bước cá nhân hóa để giải quyết triệt để tình trạng răng cửa bị đổi màu:
- Chẩn đoán hình ảnh: Chụp phim CT Cone Beam để kiểm tra tình trạng tủy và chân răng. Sử dụng máy đo màu răng kỹ thuật cao để xác định chính xác độ lệch tông màu.
- Lập phác đồ điều trị: Bác sĩ tư vấn phương pháp phù hợp (Tẩy trắng, Veneer hay Bọc sứ). Nếu răng chết tủy, bước điều trị nội nha sẽ được thực hiện tiên quyết.
- Thực hiện thẩm mỹ: Ứng dụng công nghệ Laser Whitening cho tẩy trắng hoặc Scan 3D cho chế tác răng sứ khít sát tuyệt đối.
- Bảo hành và dặn dò: Hướng dẫn chế độ ăn uống và vệ sinh để duy trì màu sắc bền lâu nhất.
💡 Mẹo của chuyên gia: Sau khi xử lý răng cửa bị đổi màu, hãy hạn chế sử dụng ống hút để uống các loại nước sẫm màu trong 48 giờ đầu tiên nhằm giúp men răng ổn định màu sắc.
Làm thế nào để phòng ngừa răng cửa bị đổi màu bền vững?
Phòng ngừa răng đổi màu bắt đầu từ việc từ bỏ thuốc lá, hạn chế thực phẩm màu, vệ sinh răng miệng đúng cách và khám nha khoa định kỳ 6 tháng/lần.
Ông bà ta nói “phòng bệnh hơn chữa bệnh”. Để không bao giờ phải lo lắng về việc răng cửa bị đổi màu, bạn hãy áp dụng các nguyên tắc sau:
- Súc miệng ngay sau khi ăn đồ màu: Nếu bạn không thể đánh răng ngay sau khi uống trà hay cà phê, hãy súc miệng bằng nước lọc để trung hòa axit và rửa trôi sắc tố.
- Sử dụng bàn chải điện và máy tăm nước: Những công cụ này giúp loại bỏ mảng bám hiệu quả hơn 70% so với bàn chải thường, ngăn chặn vết ố bám cứng thành cao răng.
- Lấy cao răng định kỳ: Cao răng chính là “thỏi nam châm” thu hút các phân tử màu. Làm sạch cao răng mỗi 6 tháng là cách tốt nhất để giữ răng cửa bị đổi màu không có cơ hội xảy ra.
- Bổ sung thực phẩm “làm sạch”: Táo, cà rốt, cần tây có độ giòn tự nhiên giúp chà xát nhẹ nhàng mặt răng và tăng tiết nước bọt trung hòa mảng bám.
Tóm lại, răng cửa bị đổi màu là một vấn đề hoàn toàn có thể giải quyết được bằng y khoa hiện đại. Điều quan trọng nhất là bạn cần tìm đến những cơ sở uy tín để được chẩn đoán đúng nguyên nhân, tránh tình trạng “tiền mất tật mang” do tẩy trắng sai cách hoặc bọc sứ kém chất lượng. Hãy nhớ rằng, một nụ cười rạng rỡ không chỉ là vẻ đẹp, mà còn là minh chứng cho một sức khỏe răng miệng vững chắc. Hy vọng những chia sẻ của tôi đã giúp bạn tìm thấy lộ trình phù hợp để lấy lại sự tự tin cho chính mình!
NHA KHOA OTIS – CHUYÊN GIA PHỤC HỒI NỤ CƯỜI RẠNG RỠ
Tại Nha khoa Otis, chúng tôi hiểu rằng nụ cười của bạn là duy nhất. Với đội ngũ bác sĩ chuyên môn cao và trang thiết bị hiện đại, chúng tôi tự hào mang đến các giải pháp điều trị răng cửa bị đổi màu an toàn và hiệu quả nhất. Dù là tẩy trắng Laser không ê buốt hay dán sứ Veneer siêu mỏng, Otis cam kết mang lại cho bạn một kết quả thẩm mỹ tự nhiên và bền vững. Hãy để chúng tôi đồng hành cùng bạn trên hành trình chinh phục nụ cười cực phẩm!
NHA KHOA OTIS – NHA KHOA UY TÍN HCM
- Địa chỉ: Số 25H Nguyễn Bỉnh Khiêm, phường Sài Gòn, Tp. HCM
- SĐT: 0888.625.825
- Fanpage: https://www.facebook.com/nhakhoaOtis/
- Website: otisdental.vn

