Chào bạn, tôi là bác sĩ nha khoa tại Otis Dental. Trong suốt nhiều năm hành nghề, tôi đã chứng kiến hàng ngàn trường hợp bệnh nhân tìm đến phòng khám trong tình trạng mất ăn, mất ngủ chỉ vì một chiếc răng hàm bị sâu. Nhiều người thường tặc lưỡi bỏ qua khi thấy những vệt đen nhỏ, để rồi khi cơn đau bùng phát dữ dội lên tận thái dương, họ mới nhận ra tầm quan trọng của những “cỗ máy nghiền” này.
- Răng hàm bị sâu là gì và tại sao nó lại nguy hiểm hơn các răng khác?
- Làm thế nào để nhận biết các cấp độ răng hàm bị sâu sớm nhất?
- Nguyên nhân khiến răng hàm bị sâu ở người trưởng thành là gì?
- Các phương pháp điều trị răng hàm bị sâu hiệu quả nhất hiện nay?
- Nhổ răng hàm bị sâu khi nào là bắt buộc và hậu quả nếu không trồng lại?
- Cách phòng ngừa răng hàm bị sâu bền vững cho người bận rộn?
Răng hàm (răng cối) không giống như răng cửa. Chúng có cấu tạo mặt nhai rộng với nhiều hố rãnh phức tạp – nơi mà bàn chải đánh răng thông thường khó lòng làm sạch tuyệt đối. Một khi răng hàm bị sâu, tốc độ tàn phá của vi khuẩn sẽ diễn ra âm thầm nhưng vô cùng khốc liệt. Nếu bạn là một người trưởng thành bận rộn, việc mất đi một chiếc răng hàm không chỉ là mất đi khả năng ăn nhai ngon miệng mà còn là khởi đầu cho sự sụt giảm sức khỏe toàn diện và vẻ đẹp của khuôn mặt.
Tại sao răng hàm lại dễ sâu nhất? Làm thế nào để phân biệt sâu răng thông thường với viêm tủy cấp? Và quan trọng hơn hết, có những “vũ khí” hiện đại nào giúp chúng ta cứu vãn chiếc răng hàm đang bị tổn thương mà không cần phải nhổ bỏ? Trong bài viết chuyên sâu này, tôi sẽ đồng hành cùng bạn đi tìm câu trả lời chi tiết nhất, giúp bạn làm chủ sức khỏe nụ cười của chính mình.
Răng hàm bị sâu là gì và tại sao nó lại nguy hiểm hơn các răng khác?
Sâu răng hàm là bệnh lý nhiễm trùng mô cứng của răng, nguy hiểm vì đây là nhóm răng chịu 80% lực nhai và có vị trí khuất, khó vệ sinh, dễ dẫn đến biến chứng viêm nha chu lan rộng.
Răng hàm (bao gồm răng số 6, số 7 và răng khôn) đóng vai trò là “trụ cột” của toàn bộ cung hàm. Khi răng hàm bị sâu, nền móng của hệ thống nhai bị lung lay. Khác với răng cửa chỉ có 1 chân, răng hàm thường có từ 2 đến 3 chân răng cắm sâu vào xương hàm. Điều này có nghĩa là khi vi khuẩn tấn công xuống dưới, diện tích nhiễm trùng sẽ lớn hơn và phức tạp hơn rất nhiều.
Hệ lụy của việc bỏ qua răng hàm sâu là rất lớn. Bạn sẽ có xu hướng nhai lệch sang một bên, dẫn đến lệch mặt, mỏi khớp thái dương hàm và ảnh hưởng trực tiếp đến hệ tiêu hóa do thức ăn không được nghiền nhỏ.
Cấu tạo răng hàm có đặc điểm gì khiến dễ bị sâu?
Bề mặt răng hàm có hệ thống hố rãnh sâu và chằng chịt, tạo điều kiện lý tưởng cho mảng bám thức ăn đọng lại và vi khuẩn trú ngụ.
Nếu bạn soi gương, bạn sẽ thấy mặt nhai của răng hàm không hề bằng phẳng. Nó giống như một vùng núi non hiểm trở với nhiều khe, kẽ. Những hố rãnh này là nơi “trú ẩn” tuyệt vời cho mảng bám. Thậm chí, đường kính của một sợi lông bàn chải đánh răng đôi khi còn to hơn cả khe rãnh này, khiến việc làm sạch trở nên bất khả thi nếu không có các kỹ thuật bổ trợ. 💡 Mẹo của chuyên gia: Hãy sử dụng tăm nước hoặc bàn chải kẽ để tiếp cận các vùng “điểm mù” của răng hàm số 7 và số 8.
Vi khuẩn nào gây ra tình trạng răng hàm bị sâu?
Streptococcus mutans là thủ phạm chính, chúng tiêu thụ đường và tiết ra axit làm hòa tan các khoáng chất trong men răng, tạo nên lỗ sâu.
Khoa học đã chỉ ra rằng miệng chúng ta là một hệ sinh thái với hàng tỷ vi khuẩn. Streptococcus mutans là loại vi khuẩn có khả năng bám dính cực mạnh lên bề mặt răng hàm. Khi bạn ăn đồ ngọt, chúng sẽ “tiệc tùng” trên lượng đường đó và sản sinh ra axit lactic. Axit này làm hạ độ pH trong miệng xuống dưới mức 5.5, bắt đầu quá trình khử khoáng. Khi răng hàm bị sâu, tức là quá trình khử khoáng đã thắng thế quá trình tái khoáng tự nhiên từ nước bọt.
Làm thế nào để nhận biết các cấp độ răng hàm bị sâu sớm nhất?
Sâu răng hàm tiến triển qua 3 giai đoạn chính: từ những đốm màu bất thường trên men răng, đến lỗ hổng ở ngà răng gây ê buốt, và cuối cùng là tấn công vào tủy gây đau nhức dữ dội.

Việc nhận diện sớm răng hàm bị sâu ở giai đoạn đầu có thể giúp bạn tiết kiệm được 90% chi phí và thời gian điều trị. Đừng đợi đến khi thấy lỗ hổng mới đi khám, hãy quan sát những thay đổi nhỏ nhất.
Sâu răng hàm độ 1: Những đốm trắng đục khó nhận thấy
Giai đoạn này men răng mới bị khử khoáng, xuất hiện các vệt trắng đục hoặc đốm đen nhỏ li ti nhưng chưa gây ra bất kỳ cảm giác đau đớn nào.
Đây là giai đoạn “vàng” để điều trị. Lúc này, vi khuẩn mới chỉ chớm tấn công lớp men răng ngoài cùng. Bạn sẽ không cảm thấy gì khi ăn nóng hay lạnh. Tuy nhiên, nếu soi đèn pin vào mặt nhai răng hàm, bạn có thể thấy những rãnh răng có màu nâu nhạt hoặc đen mờ. 💡 Mẹo của chuyên gia: Ở giai đoạn này, đôi khi bác sĩ chỉ cần thực hiện tái khoáng bằng Fluoride cao cấp mà chưa cần phải dùng đến máy khoan nha khoa.
Sâu răng hàm độ 2: Khi những cơn ê buốt bắt đầu xuất hiện
Lỗ sâu đã xuyên qua men răng và chạm đến lớp ngà răng nhạy cảm, khiến bạn thấy buốt khi uống nước đá, ăn đồ ngọt hoặc thức ăn dắt vào lỗ sâu.
Ngà răng chứa hàng ngàn ống nhỏ li ti dẫn thẳng đến tủy răng. Khi răng hàm bị sâu đến độ 2, lớp bảo vệ men răng đã mất đi, các tác nhân bên ngoài sẽ kích thích dây thần kinh thông qua các ống ngà này. Cảm giác ê buốt thường chỉ diễn ra chớp nhoáng rồi hết. Tuy nhiên, đây là lời cảnh báo cuối cùng trước khi tủy răng bị tấn công.
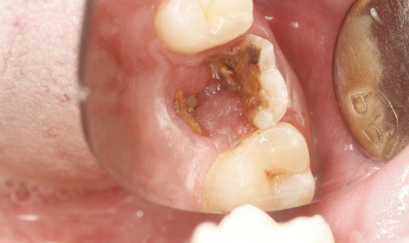
Sâu răng hàm độ 3: Cảnh báo viêm tủy và áp xe chân răng
Vi khuẩn đã xâm nhập vào buồng tủy gây viêm nhiễm nặng, dẫn đến những cơn đau tự phát kéo dài, sưng nướu và có nguy cơ hỏng răng hoàn toàn.
Nếu bạn cảm thấy đau nhức về đêm, đau giật theo nhịp mạch đập, thì chắc chắn răng hàm bị sâu đã biến chứng thành viêm tủy. Lúc này, áp lực bên trong buồng tủy tăng cao do phản ứng viêm, gây ra những cơn đau kinh khủng. Nếu không điều trị tủy ngay, vi khuẩn sẽ đi xuống chóp chân răng gây áp xe (mưng mủ), làm lung lay răng và có thể gây nhiễm trùng máu.
> Xem thêm: Viêm tủy răng là gì? Dấu hiệu và quy trình điều trị tủy không đau
Nguyên nhân khiến răng hàm bị sâu ở người trưởng thành là gì?
Nguyên nhân chính bao gồm thói quen ăn uống đồ ngọt, vệ sinh kém, mất cân bằng độ pH trong miệng và tình trạng tụt nướu làm lộ chân răng ở người lớn.
Nhiều người trưởng thành thắc mắc: “Tôi đánh răng 2 lần mỗi ngày, tại sao vẫn bị sâu răng hàm?”. Thực tế, răng hàm bị sâu ở người lớn thường do những nguyên nhân đặc thù hơn so với trẻ em.
Thói quen vệ sinh răng miệng sai cách ảnh hưởng thế nào?
Vệ sinh sơ sài ở vùng răng trong cùng và không sử dụng chỉ nha khoa khiến mảng bám tích tụ ở kẽ răng hàm, gây ra tình trạng sâu răng mặt bên cực kỳ nguy hiểm.
Răng số 7 và số 8 nằm sâu bên trong, gần khớp hàm. Khi đánh răng, nhiều người có phản xạ nôn hoặc lười đưa bàn chải vào sâu. Kết quả là mảng bám ở mặt sau răng hàm không bao giờ được làm sạch. Hơn nữa, sâu răng ở kẽ răng hàm (phần tiếp xúc giữa hai răng) rất khó phát hiện bằng mắt thường và chỉ được phát hiện khi đã mục nát bên trong ngà răng.
Chế độ ăn uống nhiều đường và tinh bột tác động ra sao?
Đồ ăn có tính dính cao (kẹo dẻo, bánh quy) và đồ uống có ga làm xói mòn men răng hàm nhanh chóng, tạo tiền đề cho vi khuẩn tấn công.
Người trưởng thành thường có thói quen uống cà phê sữa, trà sữa hoặc ăn vặt trong giờ làm việc. Lượng đường này bám liên tục lên răng hàm trong nhiều giờ. Axit từ đồ uống có ga cũng làm mềm lớp men bảo vệ, khiến răng hàm bị sâu diễn tiến nhanh hơn. 💡 Mẹo của chuyên gia: Sau khi ăn đồ ngọt hoặc uống trà/cà phê, nếu không thể đánh răng, hãy súc miệng bằng nước lọc để trung hòa axit ngay lập tức.
Các phương pháp điều trị răng hàm bị sâu hiệu quả nhất hiện nay?
Tùy theo mức độ tổn thương, bác sĩ sẽ chỉ định trám răng thẩm mỹ, bọc răng sứ hoặc điều trị tủy bảo tồn để khôi phục hình dáng và chức năng ăn nhai cho răng hàm.

Y học hiện đại cho phép chúng ta giữ lại răng hàm bị sâu ngay cả khi chỉ còn một phần nhỏ thân răng. Dưới đây là bảng so sánh các phương pháp điều trị phổ biến:
| Phương pháp | Mô tả kỹ thuật | Trường hợp áp dụng |
|---|---|---|
| Trám răng Composite | Dùng vật liệu nhựa thẩm mỹ lấp đầy lỗ sâu. | Sâu răng độ 1, độ 2 (lỗ sâu nhỏ). |
| Inlay/Onlay sứ | Miếng trám sứ được chế tác tại Labo khít sát tuyệt đối. | Răng hàm sâu vỡ lớn nhưng chưa hỏng tủy. |
| Bọc răng sứ | Mão sứ bao phủ toàn bộ răng để bảo vệ. | Răng sâu nặng, sau khi điều trị tủy. |
| Điều trị tủy (Nội nha) | Loại bỏ tủy viêm, sát trùng và trám kín ống tủy. | Sâu răng độ 3, viêm tủy, đau nhức dữ dội. |
Khi nào chỉ cần trám răng (hàn răng) là đủ?
Trám răng chỉ hiệu quả khi lỗ sâu còn nhỏ, cấu trúc răng thật còn đủ vững chắc để giữ miếng trám không bị bong sút khi nhai mạnh.
Trám răng là kỹ thuật nhanh nhất để xử lý răng hàm bị sâu. Tại Otis Dental, chúng tôi sử dụng vật liệu Composite 3M thế hệ mới có độ cứng tương đương men răng thật và màu sắc tự nhiên. Quy trình chỉ mất khoảng 15-20 phút. Tuy nhiên, nhược điểm của trám răng là miếng trám có thể bị co ngót hoặc đổi màu sau 3-5 năm, nên bạn cần kiểm tra định kỳ.
Bọc răng sứ cho răng hàm bị sâu nặng có ưu điểm gì?
Bọc răng sứ giúp bảo vệ răng thật khỏi sự tấn công của vi khuẩn, ngăn chặn tình trạng nứt vỡ và mang lại lực nhai mạnh mẽ như răng ban đầu.
Khi răng hàm bị sâu vỡ quá lớn, các miếng trám thông thường sẽ rất dễ bị bong do áp lực nhai lớn của cơ hàm. Lúc này, bọc sứ là giải pháp tối ưu. Mão sứ giống như một chiếc mũ bảo hiểm bảo vệ cùi răng thật bên trong. Đặc biệt với răng hàm, tôi luôn khuyên bệnh nhân chọn các dòng sứ Zirconia hoặc Cercon có độ chịu lực cực cao (lên đến 1200 Mpa) để thoải mái ăn đồ cứng.
> Xem thêm: Bọc răng sứ cho răng hàm: Những loại sứ bền nhất hiện nay
Nhổ răng hàm bị sâu khi nào là bắt buộc và hậu quả nếu không trồng lại?
Nhổ răng là chỉ định cuối cùng khi răng hàm bị sâu mục nát toàn bộ thân răng, viêm quanh chóp mãn tính không thể cứu chữa; nếu không trồng lại sẽ gây tiêu xương và xô lệch răng toàn hàm.
Là một bác sĩ, tôn chỉ của tôi luôn là “giữ răng thật tối đa”. Tuy nhiên, có những chiếc răng hàm bị sâu quá nặng, chân răng đã bị mục rỗng hoặc gây nhiễm trùng lan sang các răng bên cạnh, buộc chúng tôi phải nhổ bỏ để bảo vệ sức khỏe toàn diện.
Tại sao không nên trì hoãn việc nhổ răng hàm đã hỏng hoàn toàn?
Để răng sâu mục nát trong miệng lâu ngày sẽ tạo ổ mủ nhiễm trùng, gây hôi miệng nặng và có thể làm hỏng xương hàm tại vị trí đó.
Nhiều người sợ nhổ răng nên cứ để chiếc răng “chết” trong miệng. Đây là một sai lầm. Ổ vi khuẩn tại chân răng hàm bị sâu có thể gây ra viêm xoang (đối với răng hàm trên) hoặc viêm tủy xương hàm. Ngoài ra, cảm giác đau âm ỉ kéo dài sẽ làm giảm sút chất lượng cuộc sống và hiệu suất công việc của bạn.
Trồng răng Implant sau khi nhổ răng hàm bị sâu có tốt không?
Trồng răng Implant là giải pháp hoàn hảo nhất hiện nay, giúp khôi phục cả chân răng và thân răng, ngăn chặn tiêu xương và cho lực nhai y hệt răng thật.
Nếu bạn buộc phải nhổ răng hàm bị sâu, đừng bao giờ để trống khoảng trống đó quá 6 tháng. Các răng xung quanh sẽ đổ nghiêng vào khoảng trống, gây xô lệch khớp cắn và làm mặt bị già đi nhanh chóng do tiêu xương. Implant là giải pháp đầu tư một lần nhưng hiệu quả trọn đời. [EXTERNAL_LINK_URL] (Link tham khảo về lợi ích của Implant so với cầu răng sứ – nofollow).
> Xem thêm: Trồng răng Implant sau khi nhổ răng hàm bị sâu bao lâu là tốt nhất?
Cách phòng ngừa răng hàm bị sâu bền vững cho người bận rộn?
Phòng ngừa sâu răng hàm bền vững bắt đầu từ việc kiểm soát mảng bám, sử dụng công nghệ hỗ trợ như tăm nước và duy trì thói quen thăm khám nha khoa 6 tháng/lần.
Chăm sóc để không bao giờ phải đối mặt với tình trạng răng hàm bị sâu không hề khó. Dưới đây là lộ trình mà tôi luôn khuyên gia đình và bạn bè thực hiện:
Lấy cao răng định kỳ quan trọng như thế nào?
Lấy cao răng giúp loại bỏ “thành trì” của vi khuẩn dưới nướu và trong các hốc răng hàm mà bàn chải không thể làm sạch, ngăn chặn sâu răng và viêm nướu từ gốc.
Cao răng (vôi răng) thực chất là mảng bám đã hóa cứng bởi khoáng chất trong nước bọt. Nó giống như một rạn san hô cho vi khuẩn sâu răng bám vào. Dù bạn có đánh răng kỹ đến đâu, cao răng vẫn sẽ hình thành ở mặt sau răng hàm. Việc lấy cao răng siêu âm 6 tháng/lần là cách “reset” hệ vi sinh trong miệng, đảm bảo răng hàm bị sâu không có cơ hội khởi phát.
Chế độ dinh dưỡng giúp răng hàm chắc khỏe từ bên trong
Bổ sung Canxi, Vitamin D và tăng cường thực phẩm giàu chất xơ giúp làm sạch răng tự nhiên và củng cố độ bền của men răng hàm.
Hãy ăn nhiều rau xanh, táo và các loại hạt. Quá trình nhai rau xanh giòn giúp cuốn trôi các mảng bám thức ăn mềm trên mặt nhai răng hàm. Đồng thời, hãy hạn chế thói quen nhai đá lạnh hoặc các loại kẹo quá cứng, vì chúng có thể gây nứt nẻ men răng – những khe nứt li ti này chính là “cửa ngõ” cho răng hàm bị sâu tấn công vào ngà răng.
Tóm lại, răng hàm bị sâu không phải là vấn đề có thể xem nhẹ. Hãy lắng nghe những tín hiệu nhỏ nhất từ khoang miệng và đừng ngần ngại tìm đến sự giúp đỡ của bác sĩ nha khoa. Một nụ cười đẹp bắt đầu từ những chiếc răng hàm khỏe mạnh. Hy vọng bài viết này đã cung cấp cho bạn những kiến thức hữu ích để bảo vệ bộ máy ăn nhai của mình một cách tốt nhất!
NHA KHOA OTIS – CHUYÊN GIA ĐIỀU TRỊ RĂNG HÀM SÂU TẬN GỐC
Tại Nha khoa Otis, chúng tôi hiểu rằng mỗi chiếc răng hàm là một tài sản quý giá. Với công nghệ chẩn đoán bằng phim CT Cone Beam 3D hiện đại và kỹ thuật điều trị tủy, trám răng thẩm mỹ không đau, Otis cam kết mang lại giải pháp tối ưu nhất cho tình trạng răng hàm bị sâu của bạn. Chúng tôi luôn ưu tiên các phương pháp bảo tồn răng thật, giúp bạn duy trì sức khỏe ăn nhai bền bỉ suốt đời. Hãy đến với Otis Dental để trải nghiệm dịch vụ nha khoa chuyên nghiệp và tận tâm nhất.
NHA KHOA OTIS – NHA KHOA UY TÍN HCM
- Địa chỉ: Số 25H Nguyễn Bỉnh Khiêm, phường Sài Gòn, Tp. HCM
- SĐT: 0888.625.825
- Fanpage: https://www.facebook.com/nhakhoaOtis/
- Website: otisdental.vn

