Chào bạn, là một bác sĩ nha khoa, tôi thường xuyên gặp các trường hợp bệnh nhân đến khám với những triệu chứng khó chịu do bệnh viêm chân răng gây ra. Đây là một vấn đề răng miệng rất phổ biến nhưng lại thường bị bỏ qua ở giai đoạn đầu. Nhiều người lầm tưởng đây chỉ là chảy máu chân răng thông thường, nhưng thực tế, nó là dấu hiệu của một quá trình viêm nhiễm nghiêm trọng hơn, có khả năng gây ra những hậu quả khôn lường cho sức khỏe răng miệng của bạn.
Bệnh viêm chân răng, trong thuật ngữ chuyên môn còn gọi là viêm nha chu, là một bệnh lý viêm nhiễm mô quanh răng. Các mô này bao gồm nướu (lợi), xương ổ răng (xương hàm nâng đỡ răng), và dây chằng quanh răng (ligamentum periodontale). Bệnh bắt đầu từ viêm nướu, nếu không được điều trị sẽ tiến triển thành viêm nha chu, gây phá hủy dần các mô và xương nâng đỡ răng, cuối cùng dẫn đến lung lay và mất răng. Tôi sẽ cùng bạn đi sâu vào tìm hiểu nguyên nhân, triệu chứng, cách điều trị và làm thế nào để phòng ngừa bệnh hiệu quả.
Tại sao bệnh viêm chân răng lại nguy hiểm?
Bệnh viêm chân răng nguy hiểm vì nó không chỉ gây mất răng mà còn có thể liên quan đến các vấn đề sức khỏe toàn thân nghiêm trọng như bệnh tim mạch, đột quỵ và tiểu đường.
Nhiều bệnh nhân chỉ tìm đến nha sĩ khi bệnh đã ở giai đoạn nặng, với các triệu chứng rõ rệt như răng lung lay, đau nhức dữ dội. Đó là lúc bệnh viêm chân răng đã gây ra những tổn thương đáng kể. Dưới đây là những lý do khiến bệnh lý này trở nên nguy hiểm:
- Mất răng: Đây là hậu quả trực tiếp và nghiêm trọng nhất. Viêm nhiễm kéo dài phá hủy xương ổ răng và dây chằng, khiến răng không còn chỗ bám vững chắc, dẫn đến lung lay và rụng răng.
- Ảnh hưởng đến sức khỏe toàn thân: Viêm chân răng không chỉ giới hạn ở khoang miệng. Các nghiên cứu đã chỉ ra mối liên hệ giữa viêm nha chu và nhiều bệnh lý toàn thân như:
- Bệnh tim mạch: Vi khuẩn từ túi nha chu có thể đi vào máu, gây viêm nhiễm và hình thành mảng bám trong động mạch, tăng nguy cơ xơ vữa động mạch, đau tim và đột quỵ.
- Bệnh tiểu đường: Viêm nha chu có thể làm tăng lượng đường trong máu, khiến bệnh tiểu đường khó kiểm soát hơn. Ngược lại, người bệnh tiểu đường cũng dễ mắc viêm nha chu hơn.
- Biến chứng thai kỳ: Phụ nữ mang thai bị viêm nha chu có nguy cơ sinh non, nhẹ cân cao hơn.
- Các bệnh lý khác: Viêm nha chu cũng có thể liên quan đến bệnh Alzheimer, viêm phổi và các vấn đề hô hấp.
- Đau đớn và khó chịu: Sưng, viêm, chảy máu và đau nhức mãn tính ảnh hưởng đến chất lượng cuộc sống, gây khó khăn khi ăn uống và giao tiếp.
- Hôi miệng: Vi khuẩn gây viêm nha chu tạo ra các hợp chất lưu huỳnh dễ bay hơi, gây hôi miệng khó chịu, ảnh hưởng đến sự tự tin.
💡 Mẹo của chuyên gia: Đừng bao giờ chủ quan với các dấu hiệu nhỏ nhất của bệnh viêm chân răng. Phát hiện và điều trị sớm là chìa khóa để ngăn chặn những hậu quả nghiêm trọng.
> Xem thêm: Viêm Nha Chu Có Chữa Khỏi Được Không? Giải Đáp Từ Chuyên Gia
Nguyên nhân nào gây ra bệnh viêm chân răng?
Nguyên nhân chính gây viêm chân răng là mảng bám vi khuẩn tích tụ trên răng và dưới nướu, tạo điều kiện cho vi khuẩn phát triển và gây viêm nhiễm các mô nha chu.
Để hiểu rõ về bệnh viêm chân răng, chúng ta cần tìm hiểu cội nguồn của nó. Với tư cách là một bác sĩ, tôi có thể khẳng định rằng nguyên nhân cốt lõi và phổ biến nhất của bệnh viêm chân răng là do sự tích tụ của mảng bám vi khuẩn.
Mảng bám vi khuẩn và vôi răng có phải là nguyên nhân chính gây ra bệnh viêm chân răng không?
Đúng, mảng bám vi khuẩn và vôi răng là nguyên nhân hàng đầu gây viêm chân răng, chúng chứa vi khuẩn sản sinh độc tố gây viêm và phá hủy mô nha chu.
Chắc chắn rồi! Mảng bám răng là một lớp màng dính không màu hình thành liên tục trên răng của bạn. Lớp màng này chứa hàng tỷ vi khuẩn. Nếu không được loại bỏ thường xuyên thông qua việc chải răng và dùng chỉ nha khoa đúng cách, mảng bám sẽ cứng lại và hình thành cao răng (vôi răng). Vôi răng rất cứng, không thể loại bỏ bằng bàn chải thông thường mà cần phải được nha sĩ cạo bỏ.
- Mảng bám vi khuẩn: Vi khuẩn trong mảng bám sản sinh ra các độc tố gây kích ứng và viêm nướu. Đây là giai đoạn đầu của bệnh viêm nha chu, được gọi là viêm nướu.
- Vôi răng: Vôi răng tạo ra một bề mặt thô ráp, lý tưởng cho vi khuẩn bám vào và phát triển mạnh mẽ hơn. Vôi răng còn khiến việc vệ sinh răng miệng trở nên khó khăn hơn, tạo thành một vòng luẩn quẩn. Sự tích tụ này đặc biệt nguy hiểm khi vôi răng hình thành dưới đường viền nướu, tạo thành các túi nha chu, nơi vi khuẩn ẩn náu và phát triển mạnh mẽ, tấn công các mô và xương nâng đỡ răng.
Các yếu tố nguy cơ khác làm tăng khả năng mắc bệnh viêm chân răng là gì?
Ngoài mảng bám, các yếu tố như hút thuốc, di truyền, thay đổi hormone, bệnh lý toàn thân, và thuốc men có thể làm tăng nguy cơ phát triển và làm trầm trọng thêm bệnh viêm chân răng.
Bên cạnh mảng bám và vôi răng, có nhiều yếu tố khác có thể làm tăng nguy cơ mắc bệnh viêm chân răng hoặc làm trầm trọng thêm tình trạng bệnh:
- Hút thuốc lá: Đây là một trong những yếu tố nguy cơ lớn nhất. Hút thuốc làm suy yếu hệ miễn dịch, làm giảm khả năng chống lại nhiễm trùng của nướu và cản trở quá trình lành thương. Người hút thuốc có nguy cơ mắc viêm nha chu cao gấp đôi so với người không hút.
- Thay đổi hormone: Phụ nữ có thể dễ bị viêm nướu hơn trong thời kỳ mang thai, dậy thì, mãn kinh hoặc khi sử dụng thuốc tránh thai do sự thay đổi nội tiết tố.
- Bệnh lý toàn thân: Một số bệnh như tiểu đường, bệnh tim mạch, viêm khớp dạng thấp hoặc các tình trạng gây suy giảm miễn dịch (như HIV/AIDS) có thể làm tăng nguy cơ viêm chân răng và làm cho bệnh khó kiểm soát hơn.
- Thuốc men: Một số loại thuốc (như thuốc chống trầm cảm, thuốc kháng histamin, thuốc điều trị huyết áp) có thể gây khô miệng, giảm tiết nước bọt. Nước bọt đóng vai trò quan trọng trong việc rửa trôi vi khuẩn và thức ăn, nên khô miệng làm tăng nguy cơ viêm nhiễm.
- Di truyền: Một số người có khuynh hướng di truyền dễ mắc bệnh viêm nha chu hơn, bất kể thói quen vệ sinh răng miệng.
- Chế độ ăn uống thiếu dinh dưỡng: Thiếu vitamin C hoặc các chất dinh dưỡng thiết yếu khác có thể ảnh hưởng đến sức khỏe của nướu.
- Răng mọc lệch lạc, chen chúc: Răng không đều, chen chúc tạo ra các kẽ hở khó làm sạch, tạo điều kiện cho mảng bám tích tụ.
- Nghiến răng: Lực tác động quá mức lên răng có thể làm tổn thương các mô nâng đỡ răng.
> Xem thêm: Lấy Cao Răng Có Bị Ê Buốt Không? Giải Đáp Chi Tiết Từ Nha Sĩ
Dấu hiệu và triệu chứng của bệnh viêm chân răng là gì?
Các dấu hiệu của bệnh viêm chân răng bao gồm nướu sưng đỏ, dễ chảy máu, hôi miệng, tụt nướu, và ở giai đoạn nặng có thể xuất hiện răng lung lay, tạo túi mủ quanh răng.

Là một bác sĩ, tôi luôn khuyên bệnh nhân nên chú ý đến những dấu hiệu nhỏ nhất của bệnh viêm chân răng. Phát hiện sớm là yếu tố then chốt để điều trị thành công. Dưới đây là các triệu chứng bạn cần lưu ý:
Những dấu hiệu sớm của bệnh viêm chân răng mà bạn nên biết là gì?
Dấu hiệu sớm của viêm chân răng là nướu sưng đỏ, dễ chảy máu khi chải răng hoặc dùng chỉ nha khoa, và có thể kèm theo cảm giác ê buốt nhẹ hoặc hôi miệng.
Các dấu hiệu sớm thường là do viêm nướu (giai đoạn đầu của viêm nha chu). Bạn có thể nhận thấy:
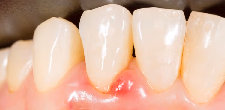
- Nướu sưng đỏ, mềm: Nướu khỏe mạnh có màu hồng nhạt và săn chắc. Khi bị viêm, nướu sẽ chuyển sang màu đỏ sẫm hoặc tím bầm, sưng phồng và mềm khi chạm vào.
- Chảy máu nướu: Đây là dấu hiệu rất phổ biến. Nướu dễ dàng chảy máu khi bạn chải răng, dùng chỉ nha khoa, hoặc thậm chí khi ăn thức ăn cứng. Nhiều người lầm tưởng chảy máu là do chải mạnh, nhưng thực tế đó là dấu hiệu của viêm nhiễm.
- Hôi miệng (Halitosis): Mặc dù có nhiều nguyên nhân gây hôi miệng, nhưng viêm nướu do vi khuẩn tích tụ là một trong những thủ phạm chính. Vi khuẩn sản sinh các chất gây mùi khó chịu.
- Ê buốt nhẹ hoặc khó chịu: Một số người có thể cảm thấy hơi ê buốt khi ăn uống nóng lạnh hoặc khi nướu bị kích thích.
💡 Mẹo của chuyên gia: Đừng bao giờ bỏ qua hiện tượng chảy máu chân răng. Nó không phải là điều bình thường và luôn là dấu hiệu cần được kiểm tra bởi nha sĩ.
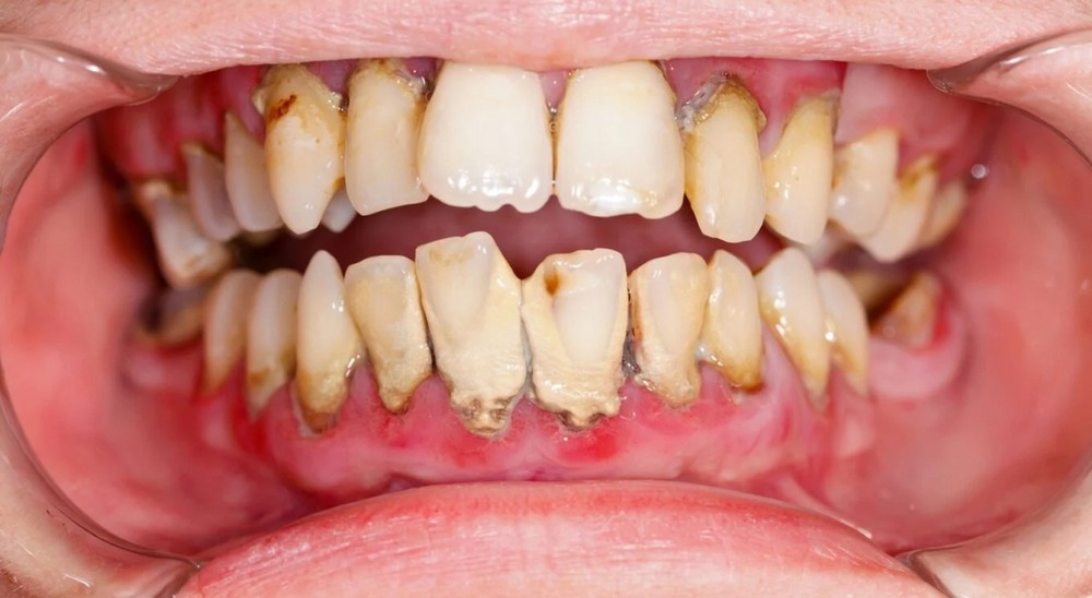
Khi bệnh viêm chân răng tiến triển nặng sẽ có triệu chứng gì?
Khi viêm chân răng nặng, các triệu chứng bao gồm nướu tụt, lộ chân răng, răng lung lay, có mủ giữa răng và nướu, thay đổi khớp cắn, và đau nhức dữ dội.
Nếu viêm nướu không được điều trị, nó sẽ tiến triển thành viêm nha chu, với các triệu chứng nghiêm trọng hơn:
- Tụt nướu (Receding Gums): Nướu bị viêm nhiễm sẽ dần dần co rút lại, làm lộ ra phần chân răng. Điều này khiến răng trông dài hơn và nhạy cảm hơn với nhiệt độ.
- Hình thành túi nha chu: Khi nướu tụt, các khe hở sâu hơn (túi nha chu) hình thành giữa răng và nướu. Những túi này là nơi lý tưởng cho vi khuẩn tích tụ và phát triển mạnh mẽ, gây viêm nhiễm sâu hơn vào xương và dây chằng.
- Có mủ hoặc dịch tiết từ nướu: Khi viêm nhiễm nặng, bạn có thể thấy mủ chảy ra từ giữa răng và nướu khi ấn vào.
- Răng lung lay hoặc di chuyển: Đây là dấu hiệu cho thấy xương ổ răng đã bị phá hủy đáng kể, không còn giữ vững được răng. Răng có thể thay đổi vị trí, tạo ra khoảng trống giữa các răng.
- Khó khăn khi nhai, cắn: Do răng bị lung lay hoặc đau nhức, bạn sẽ cảm thấy khó chịu khi ăn nhai.
- Thay đổi khớp cắn: Nếu răng di chuyển, cách bạn cắn hoặc khép hàm có thể thay đổi, gây cảm giác không thoải mái.
- Mất răng: Ở giai đoạn cuối, răng sẽ tự rụng hoặc cần phải nhổ bỏ do không còn khả năng giữ vững.
> Xem thêm: Tại Sao Lấy Cao Răng Lại Chảy Máu? Chuyên Gia Giải Đáp
Bệnh viêm chân răng được chẩn đoán và điều trị như thế nào?
Bệnh viêm chân răng được chẩn đoán thông qua khám lâm sàng và X-quang, sau đó được điều trị bằng cách lấy cao răng, nạo túi nha chu, và trong trường hợp nặng có thể cần phẫu thuật nha chu.

Việc chẩn đoán chính xác và điều trị kịp thời là chìa khóa để kiểm soát bệnh viêm chân răng và ngăn chặn những tổn thương vĩnh viễn. Với kinh nghiệm của mình, tôi xin chia sẻ quy trình chẩn đoán và các phương pháp điều trị phổ biến.
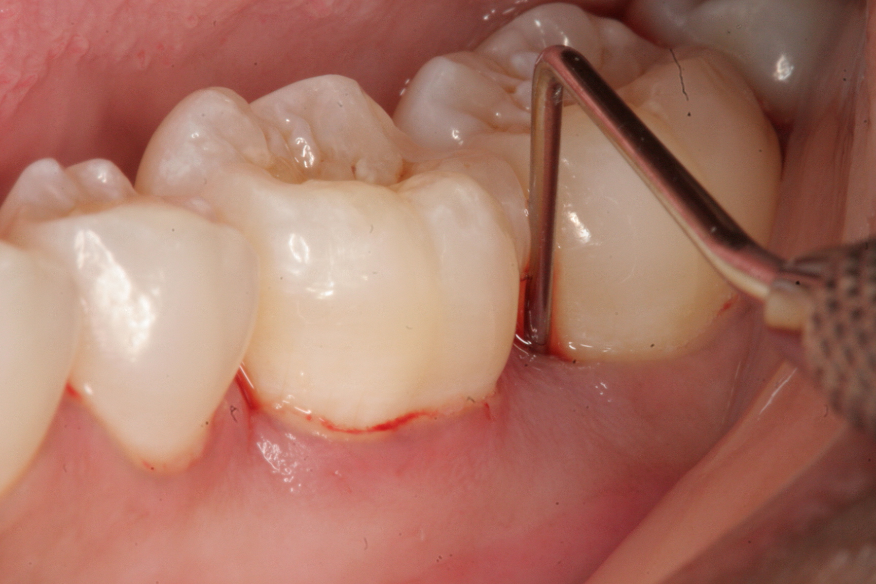
Nha sĩ chẩn đoán bệnh viêm chân răng bằng cách nào?
Nha sĩ chẩn đoán viêm chân răng bằng cách kiểm tra nướu, đo độ sâu túi nha chu bằng cây thăm dò, và chụp X-quang để đánh giá mức độ tiêu xương.
Khi bạn đến phòng khám với các triệu chứng nghi ngờ viêm chân răng, nha sĩ sẽ thực hiện các bước sau để chẩn đoán:
- Kiểm tra tiền sử y tế: Nha sĩ sẽ hỏi về các bệnh lý bạn đang mắc, thuốc đang dùng, và các yếu tố nguy cơ như hút thuốc.
- Kiểm tra lâm sàng răng miệng:
- Kiểm tra nướu: Nha sĩ sẽ quan sát màu sắc, độ săn chắc của nướu, và tìm kiếm các dấu hiệu sưng, đỏ, hoặc chảy máu.
- Đo túi nha chu: Sử dụng một dụng cụ nhỏ gọi là cây thăm dò nha chu, nha sĩ sẽ đo độ sâu của khe hở giữa nướu và răng (gọi là túi nha chu). Túi sâu hơn 3mm thường là dấu hiệu của bệnh viêm nha chu.
- Kiểm tra độ lung lay của răng: Đánh giá mức độ ổn định của từng răng.
- Chụp X-quang răng: Phim X-quang giúp nha sĩ nhìn rõ xương hàm bên dưới nướu, đánh giá mức độ tiêu xương và xác định vị trí các ổ viêm.
Dựa trên những thông tin này, nha sĩ sẽ xác định bạn đang ở giai đoạn nào của bệnh viêm chân răng (viêm nướu, viêm nha chu nhẹ, trung bình hay nặng) và đưa ra kế hoạch điều trị phù hợp.
Các phương pháp điều trị bệnh viêm chân răng hiệu quả
Điều trị viêm chân răng bao gồm các phương pháp không phẫu thuật như cạo vôi răng và nạo túi nha chu, cùng với các phương pháp phẫu thuật như phẫu thuật lật vạt và ghép mô nếu bệnh nặng.
Mục tiêu của điều trị là loại bỏ vi khuẩn, giảm viêm, ngăn chặn bệnh tiến triển và giúp các mô nha chu lành lại. Các phương pháp điều trị được phân loại thành không phẫu thuật và phẫu thuật:
Điều trị không phẫu thuật:
- Cạo vôi răng và làm sạch bề mặt gốc răng (Scaling and Root Planing): Đây là phương pháp điều trị cơ bản và quan trọng nhất cho bệnh viêm chân răng ở giai đoạn đầu và trung bình.
- Cạo vôi răng (Scaling): Loại bỏ mảng bám và vôi răng bám trên bề mặt răng và dưới đường viền nướu.
- Làm sạch bề mặt gốc răng (Root Planing): Làm nhẵn bề mặt chân răng để loại bỏ vi khuẩn và độc tố, giúp nướu bám chặt trở lại vào răng và ngăn ngừa sự tích tụ mảng bám trong tương lai.
- Sử dụng thuốc:
- Nước súc miệng kháng khuẩn: Chứa chlorhexidine hoặc các hoạt chất khác để kiểm soát vi khuẩn.
- Thuốc kháng sinh: Dạng uống hoặc gel đặt trực tiếp vào túi nha chu để tiêu diệt vi khuẩn gây nhiễm trùng.

Điều trị phẫu thuật (khi bệnh nặng hoặc không đáp ứng với điều trị không phẫu thuật):
- Phẫu thuật lật vạt (Flap Surgery / Pocket Reduction Surgery): Nha sĩ sẽ rạch nướu để lật một vạt nướu nhỏ, cho phép tiếp cận sâu hơn vào chân răng để làm sạch triệt để vôi răng và mô bị viêm. Sau đó, nướu được khâu lại sát hơn vào răng để giảm độ sâu của túi nha chu.
- Ghép mô mềm (Soft Tissue Grafts): Được thực hiện khi nướu bị tụt nhiều, lộ chân răng. Nha sĩ lấy một phần mô nướu từ vòm miệng hoặc sử dụng mô ghép nhân tạo để che phủ chân răng bị lộ, giúp giảm ê buốt và cải thiện thẩm mỹ.
- Ghép xương (Bone Grafting): Khi xương ổ răng bị phá hủy đáng kể, nha sĩ có thể sử dụng xương tự thân, xương nhân tạo hoặc vật liệu ghép xương tổng hợp để kích thích xương mới phát triển, giúp cố định răng chắc chắn hơn.
- Tái tạo mô có hướng dẫn (Guided Tissue Regeneration – GTR): Sử dụng một màng chắn đặc biệt để ngăn mô mềm phát triển vào vùng xương bị mất, tạo không gian cho xương và dây chằng mới phát triển trở lại.
Sau khi điều trị, việc duy trì vệ sinh răng miệng tốt tại nhà và tái khám định kỳ theo lịch của nha sĩ là cực kỳ quan trọng để ngăn ngừa bệnh tái phát. 💡 Mẹo của chuyên gia: Đừng bao giờ tự ý điều trị viêm chân răng tại nhà. Hãy tìm đến nha sĩ để được chẩn đoán và điều trị đúng cách.
> Xem thêm: Phương Pháp Điều Trị Viêm Nha Chu Hiệu Quả Nhất Hiện Nay
Làm thế nào để phòng ngừa bệnh viêm chân răng hiệu quả?
Phòng ngừa viêm chân răng hiệu quả bằng cách duy trì vệ sinh răng miệng tốt, đánh răng và dùng chỉ nha khoa đúng cách, khám răng định kỳ, và có lối sống lành mạnh.
Phòng bệnh hơn chữa bệnh, điều này đặc biệt đúng với bệnh viêm chân răng. Với vai trò là một người bạn đồng hành trong việc chăm sóc nụ cười của bạn, tôi luôn khuyến khích mọi người áp dụng các biện pháp phòng ngừa đơn giản nhưng cực kỳ hiệu quả sau:
Những thói quen vệ sinh răng miệng nào giúp phòng ngừa bệnh viêm chân răng?
Các thói quen vệ sinh răng miệng giúp phòng ngừa viêm chân răng bao gồm đánh răng hai lần mỗi ngày, dùng chỉ nha khoa hàng ngày, sử dụng nước súc miệng và bàn chải điện.
- Đánh răng đúng cách, ít nhất hai lần mỗi ngày: Sử dụng bàn chải lông mềm và kem đánh răng có fluoride. Chải răng nhẹ nhàng theo chuyển động tròn hoặc rung nhẹ, tập trung vào đường viền nướu và tất cả các bề mặt của răng. Đừng chải quá mạnh vì có thể làm tổn thương nướu.
- Sử dụng chỉ nha khoa hàng ngày: Chỉ nha khoa giúp loại bỏ mảng bám và thức ăn mắc kẹt giữa các kẽ răng và dưới đường viền nướu mà bàn chải không thể tới được. Đây là bước không thể thiếu để phòng ngừa viêm chân răng.
- Súc miệng bằng nước súc miệng kháng khuẩn: Sau khi đánh răng và dùng chỉ nha khoa, súc miệng bằng nước súc miệng chuyên dụng có thể giúp tiêu diệt vi khuẩn còn sót lại và làm sạch khoang miệng.
- Vệ sinh lưỡi: Dùng dụng cụ cạo lưỡi hoặc mặt sau của bàn chải để làm sạch lưỡi, giúp loại bỏ vi khuẩn gây hôi miệng và viêm nhiễm.
- Chọn đúng loại bàn chải: Nếu có thể, hãy cân nhắc sử dụng bàn chải điện vì chúng thường hiệu quả hơn trong việc loại bỏ mảng bám.
> Xem thêm: Cách Đánh Răng Không Bị Ê Buốt Và Hiệu Quả Nha Khoa Otis
Lối sống và chế độ ăn uống lành mạnh giúp phòng ngừa bệnh viêm chân răng như thế nào?
Lối sống và chế độ ăn uống lành mạnh bao gồm việc cai thuốc lá, kiểm soát stress, bổ sung vitamin, và hạn chế đường giúp tăng cường sức đề kháng và giảm nguy cơ viêm chân răng.
Chế độ ăn uống và lối sống của bạn có tác động lớn đến sức khỏe tổng thể, bao gồm cả răng miệng:
- Chế độ ăn uống cân bằng: Ăn nhiều trái cây, rau xanh, ngũ cốc nguyên hạt và protein nạc. Hạn chế đồ ăn và thức uống có đường, tinh bột vì chúng là nguồn thức ăn yêu thích của vi khuẩn gây hại. Đặc biệt, các thực phẩm giàu Vitamin C (cam, ổi, kiwi) và Canxi (sữa, phô mai) rất tốt cho nướu và xương.
- Cai thuốc lá: Đây là bước quan trọng nhất nếu bạn đang hút thuốc. Cai thuốc lá sẽ cải thiện đáng kể sức khỏe nướu và khả năng chống nhiễm trùng của cơ thể.
- Kiểm soát các bệnh lý nền: Nếu bạn có tiểu đường, hãy đảm bảo đường huyết được kiểm soát tốt. Điều này không chỉ tốt cho sức khỏe tổng thể mà còn giảm nguy cơ và mức độ nghiêm trọng của viêm nha chu.
- Giảm stress: Stress có thể làm suy yếu hệ miễn dịch, khiến cơ thể dễ bị nhiễm trùng, bao gồm cả nhiễm trùng nướu.
- Tránh nghiến răng: Nếu bạn có thói quen nghiến răng (bruxism), hãy trao đổi với nha sĩ để tìm giải pháp (ví dụ: máng chống nghiến) nhằm giảm áp lực lên răng và mô nha chu.
Tầm quan trọng của việc thăm khám nha khoa định kỳ trong việc phòng ngừa viêm chân răng
Thăm khám nha khoa định kỳ 6 tháng/lần là rất quan trọng để phát hiện sớm và loại bỏ mảng bám, vôi răng, ngăn ngừa bệnh viêm chân răng tiến triển.
Đây là lời khuyên mà tôi luôn nhắc nhở bệnh nhân. Dù bạn có vệ sinh răng miệng tốt đến đâu, vẫn sẽ có những khu vực mà bàn chải và chỉ nha khoa không thể làm sạch hoàn toàn. Việc thăm khám nha khoa định kỳ 6 tháng một lần có ý nghĩa vô cùng quan trọng:
- Cạo vôi răng chuyên nghiệp: Nha sĩ sẽ loại bỏ tất cả mảng bám và vôi răng cứng đầu mà bạn không thể tự làm sạch, đặc biệt là vôi răng dưới nướu – nơi khởi phát của viêm nha chu.
- Phát hiện sớm các vấn đề: Nha sĩ có thể phát hiện các dấu hiệu sớm của viêm nướu hoặc viêm nha chu trước khi chúng trở nên nghiêm trọng. Việc can thiệp sớm giúp điều trị dễ dàng, ít tốn kém và hiệu quả hơn.
- Tư vấn và hướng dẫn: Nha sĩ sẽ hướng dẫn bạn cách vệ sinh răng miệng đúng cách, đưa ra lời khuyên về chế độ ăn uống và các biện pháp phòng ngừa khác phù hợp với tình trạng của bạn.
- Kiểm tra tổng thể: Ngoài viêm chân răng, nha sĩ còn kiểm tra các vấn đề khác như sâu răng, các bệnh lý về miệng, khớp cắn, và thậm chí là sàng lọc ung thư miệng.
> Xem thêm: Chi Phí Lấy Cao Răng Giá Bao Nhiêu Tiền? Bảng Giá Mới Nhất
Bệnh viêm chân răng là một bệnh lý nghiêm trọng nhưng hoàn toàn có thể phòng ngừa và điều trị được nếu được phát hiện sớm. Đừng để những dấu hiệu nhỏ trở thành vấn đề lớn. Hãy luôn chú ý đến sức khỏe răng miệng của mình và thăm khám nha sĩ định kỳ để duy trì một nụ cười khỏe mạnh và rạng rỡ!
NHA KHOA OTIS – NHA KHOA UY TÍN HCM
Tại Nha Khoa Otis, chúng tôi hiểu rõ tầm quan trọng của việc phòng ngừa và điều trị bệnh viêm chân răng. Với đội ngũ bác sĩ chuyên môn cao, giàu kinh nghiệm trong điều trị nha chu, cùng hệ thống trang thiết bị hiện đại và quy trình vô trùng nghiêm ngặt, chúng tôi cam kết mang đến cho bạn dịch vụ chăm sóc răng miệng toàn diện, giúp bạn kiểm soát và đẩy lùi bệnh viêm chân răng hiệu quả. Hãy đến với Otis Dental để được thăm khám, tư vấn và xây dựng phác đồ điều trị phù hợp nhất, bảo vệ nụ cười khỏe mạnh của bạn.
NHA KHOA OTIS – NHA KHOA UY TÍN HCM
- Địa chỉ: Số 25H Nguyễn Bỉnh Khiêm, phường Sài Gòn, Tp. HCM
- SĐT: 0888.625.825
- Fanpage: https://www.facebook.com/nhakhoaOtis/
- Website: famidental.vn

