Khi nhắc đến niềng răng trong suốt (như Invisalign, Zenyum, hay Vinci Smile), hầu hết chúng ta đều hình dung về những khay nhựa trơn láng, vô hình và có thể tháo lắp dễ dàng. Tuy nhiên, khi bước vào quá trình điều trị thực tế, nhiều bệnh nhân khá bất ngờ khi bác sĩ thông báo cần gắn những “hạt nhỏ” lên bề mặt răng. Những hạt nhỏ này, trong thuật ngữ chuyên ngành, được gọi là Attachment.
Đừng vội lo lắng rằng những “nút nhỏ” này sẽ làm mất đi tính thẩm mỹ của phương pháp niềng răng vô hình. Thực tế, Attachment chính là những “người hùng thầm lặng”, là chìa khóa công nghệ giúp niềng răng trong suốt có thể thực hiện được những ca chỉnh nha phức tạp mà trước đây chỉ mắc cài kim loại mới làm được. Thiếu chúng, khay niềng đôi khi chỉ là những máng nhựa giữ răng đứng yên chứ không thể xoay, làm trồi hay đánh lún răng hiệu quả.
Với tư cách là một bác sĩ chỉnh nha đã thực hiện hàng ngàn ca Invisalign thành công, tôi viết bài viết này để giải mã toàn bộ bí mật về Attachment. Chúng ta sẽ cùng nhau đi sâu vào tìm hiểu:
- Bản chất thực sự của Attachment là gì và chúng hoạt động dựa trên cơ chế vật lý nào?
- Tại sao một số người phải gắn rất nhiều Attachment, trong khi người khác lại ít hơn?
- Quy trình gắn và tháo Attachment có gây hại cho men răng không?
- Làm thế nào để xử lý khi Attachment bị rơi hoặc bị ố vàng?
Hãy cùng khám phá để hiểu rõ hơn về người bạn đồng hành nhỏ bé nhưng đầy sức mạnh này trên hành trình tìm kiếm nụ cười hoàn mỹ của bạn!
Attachment trong chỉnh nha là gì và tại sao chúng lại quan trọng?
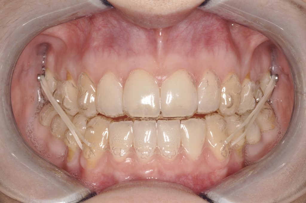
Attachment là các điểm neo chặn được làm từ nhựa Composite (vật liệu hàn răng) có màu sắc tương đồng với răng thật, được thiết kế với hình dáng và kích thước cụ thể để gắn lên răng. Chúng quan trọng vì giúp tối ưu hóa lực tác động từ khay niềng, cho phép thực hiện các chuyển động răng khó như xoay răng, làm trồi răng hoặc di xa răng hàm.

Hãy tưởng tượng bạn đang cố gắng mở một cánh cửa trơn tuột, hình tròn và không có tay nắm. Rất khó, phải không? Nhưng nếu bạn gắn vào đó một cái tay nắm cửa, việc xoay và mở cửa trở nên dễ dàng hơn bao giờ hết. Răng của chúng ta cũng vậy, bề mặt răng thường trơn và có hình bầu dục. Khay niềng nhựa đôi khi sẽ bị trượt và không thể “bám” vào răng để đẩy nó đi theo hướng mong muốn.
Lúc này, Attachment đóng vai trò chính là cái “tay nắm cửa” đó. Khi khay niềng được lắp vào, nó sẽ ôm khít lấy các Attachment này. Sự tương tác giữa khay niềng và hình dáng đặc biệt của Attachment sẽ tạo ra một bề mặt hoạt động, giúp lực được truyền tải chính xác 100% vào chân răng, buộc răng phải di chuyển theo đúng lộ trình 3D mà bác sĩ đã thiết lập.
Cấu tạo và chất liệu của Attachment là gì?
Rất nhiều bệnh nhân lo ngại về vật liệu lạ gắn lên miệng. Tuy nhiên, bạn hoàn toàn có thể yên tâm:
- Chất liệu: Attachment được làm từ Composite nha khoa. Đây chính là vật liệu dùng để trám răng thẩm mỹ phổ biến nhất hiện nay. Nó an toàn tuyệt đối, chịu lực tốt và không gây kích ứng nướu hay môi má.
- Màu sắc: Bác sĩ sẽ chọn màu Composite trùng với màu răng tự nhiên của bạn, giúp Attachment “tàng hình” tối đa khi nhìn từ xa.
- Kích thước: Chúng rất nhỏ, thường chỉ vài milimet, đủ để tạo điểm tựa nhưng không gây cộm quá mức.
Cơ chế hoạt động của Attachment với khay niềng ra sao?
Cơ chế này dựa trên nguyên lý cơ sinh học. Tùy thuộc vào hình dáng của Attachment (vuông, tròn, chữ nhật, vát chéo…), nó sẽ định hướng lực tác động của khay niềng:
- Tạo lực xoay: Giúp xoay các răng bị lệch trục về đúng vị trí.
- Tạo lực trồi/lún: Giúp kéo dài thân răng ngắn hoặc đánh lún răng để chữa cười hở lợi/khớp cắn sâu.
- Tạo lực neo chặn (Anchorage): Giữ cho khay niềng không bị tuột, đặc biệt quan trọng ở các răng hàm ngắn.
> Xem thêm: Niềng Răng Trong Suốt: Toàn Bộ Quy Trình và Chi Phí Chi Tiết
Có những loại Attachment nào và công dụng cụ thể của từng loại?
Trong hệ thống Invisalign, có hai nhóm Attachment chính: Attachment thông thường (Conventional) có hình dạng hình học cơ bản, và Attachment tối ưu hóa (SmartForce) được thiết kế riêng biệt bằng phần mềm AI cho từng chuyển động răng cụ thể. Ngoài ra, hình dáng attachment (chữ nhật, vát chéo, elip) sẽ quyết định hướng di chuyển của răng.

Không phải mọi Attachment đều giống nhau. Sự phát triển của công nghệ đã chia chúng thành nhiều loại để phục vụ các mục đích điều trị khác nhau.
Attachment thông thường và Attachment tối ưu hóa (SmartForce) khác nhau thế nào?
| Tiêu chí | Attachment Thông Thường | Attachment Tối Ưu Hóa (SmartForce – Invisalign) |
|---|---|---|
| Thiết kế | Hình dạng hình học cơ bản (Elip, Chữ nhật). Do bác sĩ tự chọn và đặt lên răng trên phần mềm. | Hình dạng phức tạp, đa mặt. Do phần mềm AI tự động tính toán và thiết kế dựa trên lực cần thiết. |
| Mục đích chính | Tăng độ bám giữ khay (retention). | Thực hiện các chuyển động răng khó và kiểm soát chân răng chính xác. |
| Kích thước | Thường to hơn. | Thường nhỏ gọn và tinh tế hơn. |
Hình dáng Attachment ảnh hưởng đến việc di chuyển răng ra sao?
Mỗi hình dáng “cục” composite trên răng bạn đều có nhiệm vụ riêng:
- Hình chữ nhật (Rectangular): Thường dùng để kiểm soát độ nghiêng của chân răng hoặc giữ thân răng thẳng đứng khi đóng khoảng.
- Hình vát chéo (Beveled): Dùng để làm trồi răng (kéo răng dài ra) hoặc giữ khay không bị bật.
- Hình elip (Ellipsoid): Thường dùng để xoay răng nanh hoặc các răng cối nhỏ bị xoay trục.
- Attachment đa mặt (Optimized): Có thể có mặt phẳng hoạt động để đẩy răng xoay, và mặt cong để tránh cản trở khớp cắn.
Quy trình gắn và tháo Attachment diễn ra như thế nào?
Quy trình gắn Attachment rất nhanh chóng, không đau và không cần tiêm thuốc tê. Bác sĩ sử dụng một máng hướng dẫn (template) đặc biệt đã có sẵn khuôn của các Attachment, bơm composite vào, đặt lên răng và chiếu đèn quang trùng hợp để làm cứng. Khi kết thúc điều trị, Attachment sẽ được mài bỏ nhẹ nhàng và đánh bóng để trả lại bề mặt men răng nguyên vẹn.

Nhiều bạn lo lắng việc gắn vật liệu lên răng sẽ gây đau hoặc hư hại men răng. Thực tế, đây là một thủ thuật xâm lấn tối thiểu.
Các bước gắn Attachment chuẩn y khoa?
- Làm sạch bề mặt răng: Bác sĩ sẽ làm sạch, đánh bóng các răng cần gắn để đảm bảo độ bám dính tốt nhất.
- Xử lý bề mặt (Etching & Bonding): Một loại gel xoi mòn nhẹ (acid etch) được bôi lên vùng gắn attachment trong vài giây để tạo độ nhám vi thể, sau đó rửa sạch và bôi keo dán (bonding).
- Chuẩn bị máng Attachment (Template): Đây là một khay nhựa mỏng, mềm, có chứa các “khuôn” rỗng tương ứng với vị trí và hình dáng của attachment. Bác sĩ sẽ bơm vật liệu Composite vào các khuôn này.
- Đặt lên răng và chiếu đèn: Máng template được đặt chính xác lên cung hàm. Bác sĩ dùng đèn quang trùng hợp chiếu qua máng để làm đông cứng Composite.
- Tháo máng và hoàn thiện: Sau khi Composite cứng, máng template được tháo ra, để lại các hạt attachment bám chặt trên răng. Bác sĩ sẽ loại bỏ phần keo thừa xung quanh để đảm bảo thẩm mỹ và không gây vướng víu.
Tháo Attachment có đau không và có làm hỏng men răng không?
Câu trả lời là KHÔNG, nếu được thực hiện đúng kỹ thuật.
- Khi kết thúc quá trình niềng răng, bác sĩ sẽ dùng mũi khoan chuyên dụng để mài bỏ lớp Composite.
- Mũi khoan này thường được thiết kế để chỉ mài vật liệu trám mà không cắt vào men răng tự nhiên.
- Sau khi mài bỏ, bề mặt răng sẽ được đánh bóng lại, trả lại vẻ trơn láng như ban đầu. Bạn sẽ không cảm thấy đau, chỉ nghe tiếng rung nhẹ của tay khoan.
Những vấn đề thường gặp với Attachment và cách xử lý?
Các vấn đề thường gặp bao gồm attachment bị rơi, bị ố màu hoặc gây cộm vướng môi má trong thời gian đầu. Nếu bị rơi, bạn không cần quá hoảng loạn nhưng nên liên hệ nha sĩ để gắn lại sớm. Để tránh ố màu, cần hạn chế thực phẩm sậm màu và vệ sinh kỹ. Cảm giác cộm vướng sẽ tự hết sau vài ngày khi niêm mạc miệng thích nghi.

Sử dụng attachment là một phần của cuộc sống với niềng răng trong suốt. Dưới đây là cách đối phó với những tình huống “dở khóc dở cười” có thể xảy ra.
Tại sao Attachment bị rơi và cần làm gì khi bị rớt?
Dù được dán rất chắc, attachment vẫn có thể bị bong do:
- Ăn đồ quá cứng hoặc dai.
- Thao tác tháo khay niềng quá mạnh hoặc sai cách.
- Quá trình gắn ban đầu bị dính ẩm (nước bọt).
Cách xử lý: Đừng hoảng sợ! Việc rớt 1-2 attachment thường không làm hỏng cả quá trình điều trị ngay lập tức. Tuy nhiên, lực tác động lên răng đó sẽ bị mất đi. Hãy tiếp tục đeo khay như bình thường và báo cho phòng khám để sắp xếp lịch gắn lại (thường là trong lần tái khám kế tiếp hoặc sớm hơn nếu cần thiết).
Attachment có bị ố màu không và làm sao để giữ chúng trắng sáng?
Vì làm bằng Composite (nhựa), attachment có cấu trúc xốp nhẹ nên dễ bám màu hơn men răng thật.
- Nguyên nhân gây ố: Cà phê, trà, nghệ, cà ri, rượu vang đỏ, thuốc lá.
- Cách phòng ngừa: Hạn chế các thực phẩm trên. Súc miệng ngay sau khi ăn uống. Chải răng kỹ quanh các nút attachment.
- Nếu đã bị ố: Đừng tự ý dùng chất tẩy trắng mạnh. Hãy nhờ bác sĩ đánh bóng lại trong lần tái khám.
Cảm giác khó chịu khi mới gắn Attachment kéo dài bao lâu?
Khi tháo khay niềng ra để ăn uống, bạn sẽ cảm thấy các nút attachment cọ xát vào môi, má hoặc lưỡi, gây cảm giác sần sùi, vướng víu. Đây là hiện tượng bình thường. Niêm mạc miệng sẽ tự thích nghi và “chai” đi sau khoảng 3-7 ngày. Nếu bị loét miệng, bạn có thể dùng sáp nha khoa bôi lên attachment để giảm ma sát.
> Xem thêm: Bí Kíp Chăm Sóc Răng Miệng Khi Niềng Răng Để Không Bị Ố Vàng
Sự khác biệt giữa niềng răng có và không có Attachment?
Không phải ca niềng răng trong suốt nào cũng cần gắn attachment lên tất cả các răng. Việc sử dụng attachment phụ thuộc vào độ khó của ca điều trị. Có attachment giúp răng di chuyển nhanh hơn, chính xác hơn và kiểm soát được chân răng. Không có attachment thẩm mỹ hơn nhưng chỉ áp dụng được cho các ca sai lệch rất nhẹ.

Trường hợp nào không cần gắn Attachment?
Bạn có thể không cần hoặc cần rất ít attachment nếu:
- Răng chỉ bị chen chúc hoặc thưa kẽ rất nhẹ.
- Chỉ cần nghiêng thân răng đơn giản, không cần xoay hay di chuyển tịnh tiến chân răng.
- Sử dụng các dòng sản phẩm niềng răng tại nhà phân khúc thấp (tuy nhiên hiệu quả thường hạn chế).
Tuy nhiên, với các ca trung bình đến khó, attachment là BẮT BUỘC. Nếu bạn từ chối gắn attachment vì lý do thẩm mỹ, bác sĩ có thể sẽ từ chối điều trị hoặc cảnh báo trước rằng kết quả sẽ không đạt được 100% như mong đợi.
NHA KHOA OTIS – CHUYÊN GIA CHỈNH NHA INVISALIGN CAO CẤP
Tại Nha khoa Otis, chúng tôi hiểu rằng Attachment không chỉ là những “nút nhựa”, mà là tinh hoa công nghệ giúp bạn rút ngắn thời gian niềng răng và đạt kết quả hoàn hảo. Đội ngũ bác sĩ Platinum của chúng tôi sử dụng phần mềm ClinCheck Pro để thiết kế vị trí và hình dáng attachment tối ưu nhất, vừa đảm bảo lực di chuyển răng, vừa giữ được tính thẩm mỹ tối đa cho nụ cười của bạn. Chúng tôi cam kết sử dụng vật liệu Composite cao cấp, chống ố màu và quy trình gắn kết chuẩn xác, giúp bạn có trải nghiệm niềng răng trong suốt êm ái và hiệu quả nhất.
- Địa chỉ: Số 25H Nguyễn Bỉnh Khiêm, phường Sài Gòn, Tp. HCM
- SĐT: 0888.625.825
- Fanpage: https://www.facebook.com/nhakhoaOtis/
- Website: otisdental.vn
