Chào bạn, tôi là bác sĩ nha khoa tại Otis Dental. Trong suốt quá trình thực hiện các ca phẫu thuật từ đơn giản đến phức tạp, tôi hiểu rằng “xoang hàm” là một vùng giải phẫu cực kỳ nhạy cảm và quan trọng. Có bao giờ bạn nghe nói về việc sau khi nhổ một chiếc răng hàm trên, bệnh nhân lại thấy nước uống chảy ra từ mũi? Hoặc bỗng nhiên cảm thấy hơi thở có mùi hôi nồng nặc và đau nhức vùng má? Đó chính là những dấu hiệu điển hình của tình trạng thủng xoang hàm.
- Thủng xoang hàm là gì và nó xảy ra như thế nào?
- Nguyên nhân gây thủng xoang hàm phổ biến trong nha khoa là gì?
- Dấu hiệu nhận biết bạn đang bị thủng xoang hàm là gì?
- Thủng xoang hàm có nguy hiểm không và biến chứng ra sao?
- Cách điều trị thủng xoang hàm hiệu quả hiện nay là gì?
- Làm thế nào để phòng tránh thủng xoang hàm khi điều trị nha khoa?
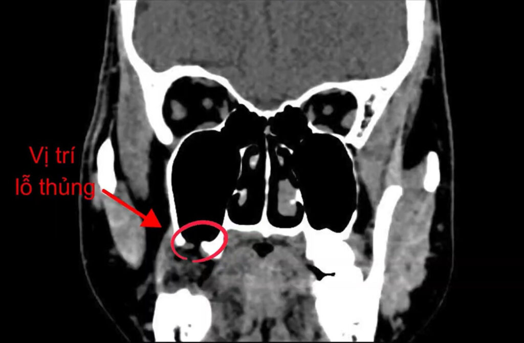
Thực tế, xoang hàm trên là hốc rỗng lớn nhất trong các xoang mặt, nằm ngay phía trên xương hàm trên và chân các răng hàm. Khoảng cách giữa chân răng và màng xoang đôi khi chỉ mỏng như một tờ giấy, thậm chí chân răng còn nằm lọt thỏm bên trong lòng xoang. Chính vì sự giao thoa mật thiết này, các thủ thuật nha khoa vùng răng hàm trên luôn tiềm ẩn nguy cơ gây tổn thương đến xoang.
Trong bài viết chuyên sâu này, tôi sẽ giúp bạn giải mã toàn bộ thắc mắc: Thủng xoang hàm là gì? Tại sao nó xảy ra? Làm thế nào để nhận biết và quy trình điều trị chuẩn y khoa để lỗ thủng tự đóng lại mà không gây biến chứng nguy hiểm. Hãy dành thời gian cùng tôi tìm hiểu để bảo vệ sức khỏe răng miệng của chính mình và người thân nhé!
Thủng xoang hàm là gì và nó xảy ra như thế nào?
Về bản chất, thủng xoang hàm là sự phá vỡ rào cản ngăn cách giữa hốc miệng (nhiều vi khuẩn) và xoang hàm (vô trùng), tạo điều kiện cho vi khuẩn xâm nhập gây viêm nhiễm nghiêm trọng.
Để hiểu rõ thủng xoang hàm là gì, chúng ta cần hình dung cấu trúc giải phẫu. Xoang hàm được lót bởi một lớp màng mỏng gọi là màng Schneiderian. Lớp màng này có nhiệm vụ duy trì độ ẩm và làm sạch không khí khi chúng ta hít thở. Phía dưới xoang hàm là xương hàm trên, nơi nâng đỡ các răng hàm số 5, 6, 7 và răng khôn (số 8).
Khi có một lực tác động cơ học mạnh hoặc do tình trạng viêm nhiễm làm tiêu hủy lớp xương mỏng ngăn cách này, màng xoang sẽ bị rách. Kết quả là tạo thành một “con đường thông thương” nối giữa miệng và xoang. Điều này cực kỳ nguy hiểm vì môi trường miệng chứa hàng tỷ vi khuẩn, thức ăn và nước bọt. Khi chúng xâm nhập vào xoang qua lỗ thủng, xoang sẽ bị nhiễm trùng ngay lập tức, dẫn đến viêm xoang hàm do răng.
💡 Mẹo của chuyên gia: Đừng quá hoảng loạn! Nếu lỗ thủng được phát hiện ngay lập tức trong quá trình can thiệp nha khoa và được bác sĩ xử lý đúng kỹ thuật, tỷ lệ tự lành của mô là rất cao.
> Xem thêm: Nhổ răng khôn bị thủng xoang hàm: Nguyên nhân và cách xử lý
Nguyên nhân gây thủng xoang hàm phổ biến trong nha khoa là gì?
Các nguyên nhân chính bao gồm nhổ răng hàm trên khó, phẫu thuật nâng xoang thất bại, chấn thương vùng mặt hoặc do tình trạng viêm quanh chóp răng kéo dài làm tiêu xương sàn xoang.
Dưới góc độ lâm sàng, thủng xoang hàm không tự nhiên sinh ra. Nó thường là kết quả của một biến cố y khoa hoặc bệnh lý. Dưới đây là phân tích chi tiết các nhóm nguyên nhân mà tôi thường gặp:
Nhổ răng hàm trên có nguy cơ gây thủng xoang hàm không?
Nhổ răng là nguyên nhân phổ biến nhất (chiếm hơn 80%), đặc biệt khi răng có chân dài, cong hoặc bị cứng khớp bám chặt vào xương sát sàn xoang.
Chân răng hàm lớn hàm trên (đặc biệt là răng số 6 và số 7) thường có 3 chân, trong đó chân trong thường hướng thẳng vào xoang hàm. Nếu chiếc răng này bị sâu nặng hoặc bị viêm quanh chóp, vi khuẩn sẽ làm tiêu hủy lớp xương ngăn cách chân răng và xoang. Khi bác sĩ thực hiện thao tác nhổ bằng lực bẩy, phần chân răng hoặc một mảnh xương ổ răng có thể bị đẩy ngược vào trong lòng xoang, gây rách màng xoang và tạo ra lỗ thủng.
Phẫu thuật nâng xoang cấy Implant có dễ làm thủng xoang không?
Thủng màng xoang là một rủi ro thường gặp trong kỹ thuật nâng xoang (Sinus Lift) khi độ dày xương hàm trên không đủ để đặt trụ Implant.
Để trồng răng Implant ở vùng răng hàm trên đã mất răng lâu ngày, xương hàm thường bị tiêu biến (mỏng đi). Bác sĩ phải thực hiện nâng màng xoang lên để bù thêm xương nhân tạo. Màng xoang rất mỏng và dễ vỡ (chỉ khoảng 0.1 – 0.5mm). Nếu bác sĩ thao tác không khéo léo hoặc sử dụng dụng cụ không chuyên dụng, màng xoang có thể bị rách. Tuy nhiên, nếu vết rách nhỏ, bác sĩ có thể sử dụng màng collagen để vá lại ngay trong lúc phẫu thuật.
> Xem thêm: Trồng răng Implant là gì? Quy trình và bảng giá mới nhất
Dấu hiệu nhận biết bạn đang bị thủng xoang hàm là gì?
Dấu hiệu điển hình bao gồm nước chảy ngược lên mũi khi uống, hơi thở hôi, đau nhức vùng má và thấy bọt khí sủi ra từ ổ răng vừa nhổ khi xì mũi.
Việc phát hiện sớm thủng xoang hàm là cực kỳ quan trọng để ngăn chặn viêm xoang mãn tính. Nếu bạn vừa trải qua một ca nhổ răng hoặc phẫu thuật vùng hàm trên, hãy chú ý các triệu chứng sau:
- Nghiệm pháp mũi – miệng: Khi bạn ngậm miệng, bịt mũi và cố gắng thở ra bằng mũi, bạn sẽ nghe tiếng rít hoặc thấy bọt khí sủi lên từ ổ răng. (Lưu ý: Không nên tự làm quá mạnh vì có thể làm lỗ thủng to hơn).
- Rò rỉ nước/thức ăn: Đây là dấu hiệu rõ ràng nhất. Khi bạn uống nước, một phần nước sẽ chảy ngược lên mũi cùng bên với răng vừa nhổ.
- Chảy máu mũi: Máu từ ổ răng nhổ sẽ chảy qua lỗ thủng vào xoang và thoát ra ngoài qua đường mũi.
- Thay đổi giọng nói: Giọng nói có thể trở nên nghẹt như đang bị cảm cúm do xoang bị lấp đầy dịch hoặc máu.
- Đau nhức: Cảm giác đau âm ỉ vùng dưới ổ mắt, lan lên thái dương, tăng lên khi cúi đầu xuống.
💡 Mẹo của chuyên gia: Nếu bạn thấy các dấu hiệu này sau 2-3 ngày nhổ răng, hãy quay lại phòng khám ngay lập tức. Đừng tự ý mua thuốc kháng sinh tại nhà vì lỗ thủng cơ học cần được đóng lại bằng thủ thuật chuyên môn.
Thủng xoang hàm có nguy hiểm không và biến chứng ra sao?
Thủng xoang hàm không đe dọa tính mạng tức thì nhưng nếu không điều trị, nó sẽ dẫn đến viêm xoang mãn tính, rò miệng – xoang và nhiễm trùng lan tỏa vùng mặt.
Rất nhiều bệnh nhân lo lắng thủng xoang hàm có gây chết người không. Tôi xin khẳng định là không, nhưng chất lượng cuộc sống của bạn sẽ giảm sút nghiêm trọng do các biến chứng kéo dài:
- Viêm xoang hàm cấp và mãn tính: Vi khuẩn từ miệng tấn công xoang gây tụ mủ. Xoang bị viêm sẽ gây đau đầu, sốt và dịch mủ chảy xuống họng gây hôi miệng và viêm họng.
- Rò miệng – xoang (Oroantral Fistula): Nếu lỗ thủng không được đóng sớm, lớp biểu mô miệng và biểu mô xoang sẽ mọc nối liền nhau tạo thành một đường rò vĩnh viễn. Lúc này, việc phẫu thuật đóng lỗ rò sẽ phức tạp hơn nhiều.
- Hỏng trụ Implant: Nếu thủng xoang xảy ra khi đang cấy Implant mà không được xử lý, trụ Implant sẽ không thể tích hợp xương và bị đào thải nhanh chóng do nhiễm trùng.
- Nhiễm trùng lan tỏa: Trong một số ít trường hợp, nhiễm trùng từ xoang hàm có thể lan sang các xoang khác (xoang sàng, xoang trán) hoặc gây áp xe vùng mặt.
> Xem thêm: Viêm xoang hàm do răng: Triệu chứng và phác đồ điều trị
Cách điều trị thủng xoang hàm hiệu quả hiện nay là gì?
Phương pháp điều trị phụ thuộc vào kích thước lỗ thủng; lỗ nhỏ dưới 2mm có thể tự lành, trong khi lỗ lớn trên 5mm bắt buộc phải phẫu thuật vạt nướu để đóng kín.

Khi đối diện với thủng xoang hàm, tôi luôn cá nhân hóa phác đồ điều trị dựa trên thời gian phát hiện và kích thước của lỗ rò. Dưới đây là các cấp độ điều trị phổ biến:
Khi nào lỗ thủng xoang hàm có thể tự lành?
Lỗ thủng có kích thước dưới 2mm thường có khả năng tự lành nếu bác sĩ đặt cục máu đông ổn định và bệnh nhân tuân thủ nghiêm ngặt chế độ kiêng cữ.
Nếu lỗ thủng nhỏ, bác sĩ sẽ thực hiện khâu kín nướu tại vị trí nhổ răng để giữ cho cục máu đông không bị rơi ra. Cục máu đông đóng vai trò như một “nút thắt” tự nhiên ngăn cách miệng và xoang, tạo điều kiện cho mô hạt mọc lên và lấp đầy lỗ thủng. Trong giai đoạn này, bạn sẽ được kê đơn thuốc kháng sinh, thuốc giảm phù nề và thuốc nhỏ mũi để giữ cho xoang luôn thông thoáng.
Phẫu thuật đóng lỗ rò xoang hàm miệng được thực hiện khi nào?
Đối với lỗ thủng lớn (trên 5mm) hoặc lỗ thủng đã tồn tại lâu ngày tạo thành đường rò, bác sĩ buộc phải phẫu thuật tạo vạt niêm mạc để xoay và khâu kín.
Có nhiều kỹ thuật tạo vạt như vạt niêm mạc má, vạt vòm miệng hoặc sử dụng màng collagen phối hợp với xương ghép. Mục tiêu cuối cùng là tạo ra một lớp mô dày, chắc chắn để ngăn cách hoàn toàn khoang miệng và xoang. Đây là một thủ thuật đòi hỏi bác sĩ có tay nghề cao để đảm bảo vạt nướu được nuôi dưỡng tốt và không bị bục chỉ sau phẫu thuật.
| Kích thước lỗ thủng | Phương pháp xử lý | Lưu ý quan trọng |
|---|---|---|
| < 2mm | Khâu kín nướu, theo dõi tự lành | Tránh hắt hơi, xì mũi mạnh |
| 2 – 6mm | Đặt màng Collagen, khâu ép vạt | Dùng thuốc kháng sinh, nhỏ mũi |
| > 7mm (hoặc lỗ rò lâu ngày) | Phẫu thuật tạo vạt xoay niêm mạc | Cần bác sĩ chuyên khoa phẫu thuật hàm mặt |
> Xem thêm: Quy trình phẫu thuật đóng lỗ rò xoang hàm miệng an toàn
Làm thế nào để phòng tránh thủng xoang hàm khi điều trị nha khoa?
Phòng tránh thủng xoang hàm bắt đầu từ việc chụp phim CT 3D tầm soát chân răng và lựa chọn bác sĩ phẫu thuật có kinh nghiệm để kiểm soát lực nhổ răng.
Với vai trò là một người bạn đồng hành cùng nụ cười của bạn, tôi muốn nhấn mạnh rằng thủng xoang hàm là biến chứng có thể dự đoán và phòng tránh được nếu tuân thủ các nguyên tắc sau:
- Chụp phim CT Cone Beam 3D: Đây là “bản đồ” cực kỳ quan trọng. Phim 3D giúp bác sĩ nhìn thấy chính xác khoảng cách giữa chân răng và đáy xoang, từ đó có phương án nhổ răng hoặc cấy Implant an toàn nhất. [EXTERNAL_LINK_URL] (Link tham khảo về tầm quan trọng của CT 3D trong nha khoa – nofollow).
- Kỹ thuật nhổ răng không sang chấn: Thay vì dùng lực bẩy mạnh, bác sĩ có thể chia nhỏ chân răng để nhổ từng phần, giúp giảm áp lực lên sàn xoang.
- Tuân thủ hướng dẫn sau nhổ răng: Điều này thuộc về trách nhiệm của bạn. Tuyệt đối không xì mũi mạnh, không hút thuốc lá (tạo áp suất âm trong miệng làm bật cục máu đông), không dùng ống hút và tránh hắt hơi mạnh trong ít nhất 2 tuần đầu sau khi can thiệp răng hàm trên.
- Chọn nha khoa uy tín: Một cơ sở có trang thiết bị hiện đại và bác sĩ chuyên môn cao sẽ xử lý tình huống cực kỳ nhanh nhạy nếu chẳng may xảy ra sự cố.
Tóm lại, thủng xoang hàm là một biến chứng y khoa cần được quan tâm đúng mực nhưng không nên quá lo sợ. Sự tiến bộ của công nghệ nha khoa ngày nay cho phép chúng tôi chẩn đoán sớm và xử lý lỗ thủng một cách triệt để, trả lại cho bạn một hệ thống răng miệng khỏe mạnh. Nếu bạn đang có ý định nhổ răng hàm trên hoặc cấy ghép Implant, hãy trao đổi kỹ với bác sĩ về tình trạng xoang hàm của mình nhé!
NHA KHOA OTIS – CHUYÊN GIA ĐIỀU TRỊ BIẾN CHỨNG NHA KHOA
Tại Nha khoa Otis, chúng tôi sở hữu hệ thống máy chụp CT Cone Beam 3D hiện đại nhất, giúp tầm soát chính xác cấu trúc xoang hàm cho mọi bệnh nhân. Với đội ngũ bác sĩ giàu kinh nghiệm trong lĩnh vực phẫu thuật hàm mặt và cấy ghép Implant, Otis cam kết thực hiện các thủ thuật nhổ răng không đau, an toàn tuyệt đối và xử lý triệt để các trường hợp thủng xoang hàm khó nhất. Hãy để chúng tôi bảo vệ nụ cười và sức khỏe của bạn bằng sự tận tâm và chuyên nghiệp nhất.
NHA KHOA OTIS – NHA KHOA UY TÍN HCM
- Địa chỉ: Số 25H Nguyễn Bỉnh Khiêm, phường Sài Gòn, Tp. HCM
- SĐT: 0888.625.825
- Fanpage: https://www.facebook.com/nhakhoaOtis/
- Website: famidental.vn

