Răng cửa bị thưa không chỉ là một khuyết điểm về mặt thẩm mỹ mà còn tiềm ẩn nhiều vấn đề sức khỏe răng miệng. Các phương pháp sửa răng cửa bị thưa hiện nay đã trở nên đa dạng và hiệu quả hơn bao giờ hết, giúp hàng triệu người tự tin hơn với nụ cười của mình.
Hiểu Rõ Vấn Đề Răng Cửa Thưa
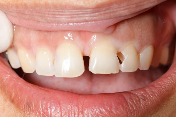
Răng cửa thưa, hay còn gọi là khe hở răng cửa, là một tình trạng phổ biến, đặc biệt là ở răng cửa hàm trên. Tình trạng này không chỉ đơn thuần là một đặc điểm riêng biệt của mỗi người mà đôi khi lại là kết quả của nhiều yếu tố khác nhau, từ di truyền, kích thước răng không cân đối so với cung hàm, cho đến những thói quen xấu hàng ngày. Việc hiểu rõ bản chất và những hệ lụy mà răng cửa thưa mang lại là bước đầu tiên cực kỳ quan trọng để mỗi cá nhân có thể đưa ra quyết định đúng đắn về các phương pháp khắc phục phù hợp.
Tác hại của răng cửa bị thưa đối với thẩm mỹ
Răng cửa đóng vai trò trung tâm trong tổng thể nụ cười và gương mặt của mỗi người. Khi răng cửa bị thưa, đặc biệt là khoảng trống lớn, nó phá vỡ sự hài hòa và cân đối tự nhiên của hàm răng, khiến nụ cười trở nên kém duyên và không hoàn hảo. Điều này không chỉ ảnh hưởng đến ấn tượng ban đầu trong giao tiếp mà còn tạo ra một hình ảnh mà nhiều người cảm thấy không muốn thể hiện. Một khe hở nhỏ cũng có thể khiến ánh sáng không phản chiếu đều trên bề mặt răng, tạo cảm giác răng không được trắng sáng và đều đặn như mong muốn.
Về mặt tâm lý, việc có răng cửa bị thưa thường xuyên khiến người bệnh cảm thấy tự ti và ngại ngùng khi cười hoặc nói chuyện. Họ có thể có xu hướng che miệng khi cười, ít khi cười thoải mái hoặc tránh các tình huống giao tiếp trực diện mà đòi hỏi phải thể hiện cảm xúc trên khuôn mặt. Sự thiếu tự tin này có thể ăn sâu vào các khía cạnh khác của cuộc sống, từ công việc đến các mối quan hệ xã hội, làm giảm đi chất lượng cuộc sống tổng thể. Nụ cười là cầu nối cảm xúc, là chìa khóa mở ra cánh cửa giao tiếp, và khi nụ cười bị ảnh hưởng, người ta sẽ mất đi một phần không nhỏ sự cởi mở và thoải mái trong các tương tác hàng ngày.
Chính vì những lý do này, rất nhiều người tìm kiếm giải pháp thẩm mỹ để khắc phục tình trạng răng cửa thưa, không chỉ để cải thiện vẻ ngoài mà còn để khôi phục sự tự tin đã mất. Các phương pháp chỉnh nha thẩm mỹ hiện đại ngày nay cung cấp những giải pháp tiếp cận toàn diện, từ việc thay đổi hình dạng răng, lấp đầy khoảng trống, cho đến việc điều chỉnh cả cấu trúc hàm để đạt được một nụ cười không chỉ đẹp mà còn khỏe mạnh và hài hòa. Đây không chỉ là việc điều trị một vấn đề nha khoa mà còn là hành trình tìm lại sự tự tin và vẻ đẹp tự nhiên của chính bản thân.

Ảnh hưởng của răng cửa thưa đến sức khỏe răng miệng
Ngoài tác động rõ rệt về mặt thẩm mỹ, tình trạng răng cửa bị thưa còn tiềm ẩn nhiều nguy cơ đối với sức khỏe răng miệng mà không phải ai cũng nhận thức được. Khi có khoảng cách giữa các răng cửa, một trong những vấn đề phổ biến và dễ nhận thấy nhất là việc thức ăn dễ dàng bị mắc kẹt vào các kẽ răng. Điều này không chỉ gây khó chịu sau mỗi bữa ăn mà còn tạo điều kiện lý tưởng cho vi khuẩn phát triển mạnh mẽ. Các vụn thức ăn bị giữ lại lâu ngày, kết hợp với nước bọt và vi khuẩn, sẽ hình thành mảng bám và cao răng, là nguyên nhân hàng đầu gây ra các bệnh lý về răng miệng.
Sự tích tụ liên tục của mảng bám và vi khuẩn tại các kẽ răng thưa có thể dẫn đến viêm nướu, một tình trạng viêm nhiễm ở lợi, biểu hiện bằng sưng, đỏ, chảy máu khi đánh răng. Nếu không được điều trị kịp thời, viêm nướu có thể tiến triển thành viêm nha chu, một bệnh lý nghiêm trọng hơn, ảnh hưởng đến các mô và xương hỗ trợ răng, thậm chí dẫn đến mất răng. Việc vệ sinh răng miệng trở nên khó khăn hơn rất nhiều khi có các khe thưa, bởi bàn chải đánh răng thông thường và chỉ nha khoa khó có thể làm sạch triệt để các ngóc ngách này. Điều này làm tăng nguy cơ sâu răng ở các mặt bên của răng, nơi mà vi khuẩn có thể dễ dàng tấn công men răng và ngà răng.
Bên cạnh đó, các khe hở răng cửa có thể làm tăng áp lực lên các răng còn lại khi ăn nhai, gây mòn răng không đều hoặc đau khớp thái dương hàm trong trường hợp nghiêm trọng. Thậm chí, việc răng thưa còn có thể ảnh hưởng đến khả năng phát âm, khiến một số âm bị biến dạng do luồng hơi bị thoát ra ngoài qua các kẽ răng. Những vấn đề sức khỏe này, dù đôi khi không biểu hiện rõ ràng ngay lập tức, nhưng nếu tích tụ lâu dài sẽ gây ra những hậu quả đáng kể, đòi hỏi những can thiệp phức tạp và tốn kém hơn. Do đó, việc giải quyết tình trạng răng cửa thưa không chỉ là vấn đề làm đẹp mà còn là một khoản đầu tư vào sức khỏe răng miệng lâu dài.
Tự tin và giao tiếp xã hội khi bị răng cửa thưa
Nụ cười là một trong những biểu hiện đầu tiên và quan trọng nhất của con người trong các tương tác xã hội. Nó không chỉ thể hiện cảm xúc mà còn là một công cụ giao tiếp phi ngôn ngữ mạnh mẽ. Khi răng cửa bị thưa, nhiều người thường cảm thấy thiếu tự tin, ngại cười hoặc nói chuyện. Điều này có thể dẫn đến việc họ tự động rút lui khỏi các tình huống xã hội, tránh ánh nhìn trực diện hoặc cố gắng che giấu khuyết điểm của mình bằng cách ít nói, ít cười hoặc che miệng. Một nụ cười không thoải mái có thể tạo ra rào cản vô hình, ảnh hưởng đến khả năng xây dựng các mối quan hệ, giao tiếp hiệu quả và thể hiện cá tính bản thân.
Trong các bối cảnh quan trọng như phỏng vấn xin việc, thuyết trình trước đám đông, gặp gỡ đối tác hay thậm chí là trong những buổi hẹn hò, sự tự tin đóng vai trò then chốt. Một nụ cười rạng rỡ, tự tin có thể để lại ấn tượng tích cực, thể hiện sự chuyên nghiệp, thân thiện và cởi mở. Ngược lại, nếu luôn phải lo lắng về vẻ ngoài của nụ cười, người ta có thể bị phân tâm, giao tiếp kém hiệu quả hơn, và không thể hiện được hết năng lực hay con người thật của mình. Sự lo lắng về răng thưa có thể khiến họ trở nên khép kín, ít chủ động trong các hoạt động đội nhóm hoặc các sự kiện xã hội, từ đó bỏ lỡ nhiều cơ hội trong cuộc sống.
Các nghiên cứu tâm lý học cũng chỉ ra rằng những người cảm thấy hài lòng với nụ cười của mình thường có mức độ tự tin cao hơn, thể hiện sự lạc quan và có khả năng tương tác xã hội tốt hơn. Điều này không chỉ ảnh hưởng đến đời sống cá nhân mà còn tác động tích cực đến sự nghiệp. Việc tự tin khi giao tiếp giúp tạo dựng hình ảnh cá nhân mạnh mẽ, dễ dàng thuyết phục người khác và đạt được thành công trong nhiều lĩnh vực. Do đó, việc tìm kiếm giải pháp sửa răng cửa bị thưa không chỉ là một quyết định về sức khỏe răng miệng hay thẩm mỹ, mà còn là một bước đầu tư quan trọng để khôi phục sự tự tin, mở ra cánh cửa cho những cơ hội mới và trải nghiệm cuộc sống trọn vẹn hơn.

Các Phương Pháp Sửa Răng Cửa Bị Thưa
Khoa học nha khoa hiện đại đã phát triển nhiều phương pháp hiệu quả để khắc phục tình trạng răng cửa bị thưa, đáp ứng đa dạng nhu cầu và tình trạng răng miệng của mỗi người. Từ những giải pháp đơn giản, nhanh chóng đến các kỹ thuật phức tạp, đòi hỏi thời gian nhưng mang lại kết quả tối ưu, việc lựa chọn phương pháp phù hợp đòi hỏi sự tư vấn kỹ lưỡng từ các chuyên gia nha khoa. Ba phương pháp chính được nhắc đến phổ biến là hàn răng, bọc sứ và niềng răng, tuy nhiên, ngày nay còn có thêm giải pháp veneer mang lại hiệu quả thẩm mỹ cao.
Hàn răng: Ưu điểm, nhược điểm và trường hợp áp dụng
Hàn răng, hay còn gọi là trám răng thẩm mỹ, là một trong những phương pháp cơ bản và nhanh chóng nhất để khắc phục tình trạng răng cửa bị thưa. Kỹ thuật này sử dụng vật liệu composite – một loại nhựa tổng hợp có màu sắc tương tự như răng thật – để đắp trực tiếp vào khoảng trống giữa các răng, tạo hình và làm đầy khe hở. Quá trình này thường diễn ra trong một lần hẹn duy nhất và không yêu cầu mài răng nhiều, giữ lại tối đa cấu trúc răng thật của bệnh nhân. Nha sĩ sẽ làm sạch bề mặt răng, sau đó dùng vật liệu composite dạng dẻo đắp lên và tạo hình một cách tỉ mỉ, sau đó chiếu đèn halogen hoặc đèn LED để vật liệu đông cứng. Cuối cùng, răng sẽ được đánh bóng để đạt được sự tự nhiên và nhẵn mịn.
Ưu điểm nổi bật của hàn răng là tính nhanh chóng và chi phí phải chăng, biến nó thành lựa chọn hấp dẫn cho nhiều người. Ngay sau khi điều trị, bệnh nhân có thể nhận thấy sự thay đổi rõ rệt về mặt thẩm mỹ, khe thưa được lấp đầy, giúp răng trở nên đều đặn hơn. Phương pháp này cũng ít xâm lấn, không gây đau đớn đáng kể và không đòi hỏi quá trình hồi phục phức tạp. Ngoài ra, vật liệu composite có nhiều tông màu khác nhau, giúp nha sĩ dễ dàng lựa chọn màu sắc phù hợp với răng tự nhiên của bệnh nhân, đảm bảo tính thẩm mỹ cao. Đây là một giải pháp tối ưu cho những ai mong muốn cải thiện nụ cười một cách nhanh gọn và tiết kiệm.
Tuy nhiên, hàn răng cũng có những nhược điểm cần được xem xét. Độ bền của mối hàn composite không cao bằng các vật liệu khác như sứ. Chúng có thể bị mòn, nứt vỡ hoặc đổi màu (ngả vàng, xỉn màu) theo thời gian, đặc biệt nếu bệnh nhân thường xuyên sử dụng các loại thực phẩm và đồ uống có màu như cà phê, trà, rượu vang đỏ, hoặc hút thuốc lá. Tuổi thọ trung bình của một mối hàn composite thường dao động từ 3 đến 5 năm, sau đó có thể cần phải thay thế hoặc trám lại. Điều này có nghĩa là bệnh nhân sẽ cần tái khám định kỳ và có thể phải chịu chi phí sửa chữa hoặc thay thế trong tương lai.
Hàn răng thường được áp dụng cho các trường hợp răng cửa bị thưa với khoảng cách nhỏ, các khe hở không quá lớn, hoặc khi bệnh nhân không muốn can thiệp quá nhiều vào cấu trúc răng thật. Nó cũng là một lựa chọn lý tưởng cho những người có ngân sách hạn chế hoặc cần một giải pháp tạm thời trước khi quyết định các phương pháp lâu dài hơn. Đối với những trường hợp răng thưa nghiêm trọng, có cấu trúc răng không đều hoặc yêu cầu độ bền và thẩm mỹ cao hơn, hàn răng có thể không phải là lựa chọn tối ưu, và các phương pháp khác như bọc sứ hay niềng răng cần được xem xét.

Bọc răng sứ: Quy trình, chi phí và hiệu quả thẩm mỹ
Bọc răng sứ là một giải pháp hiệu quả và phổ biến để khắc phục tình trạng răng cửa bị thưa, đặc biệt là khi khe hở lớn hoặc răng có các vấn đề về hình dạng, màu sắc khác. Phương pháp này bao gồm việc mài nhỏ một phần men răng thật ở mặt ngoài và các mặt bên của răng cửa bị thưa, sau đó lấy dấu hàm để tạo ra một mão răng sứ (hay còn gọi là chụp răng sứ) được thiết kế riêng. Mão sứ sau khi hoàn thiện sẽ được gắn cố định lên phần cùi răng đã được mài, vừa lấp đầy khoảng trống, vừa tái tạo hình dáng, màu sắc và kích thước răng một cách hoàn hảo. Quá trình này giúp sửa răng cửa bị thưa đồng thời cải thiện đáng kể diện mạo tổng thể của răng.
Quy trình bọc răng sứ thường diễn ra trong hai hoặc ba buổi hẹn. Buổi đầu tiên là thăm khám, tư vấn và mài răng. Nha sĩ sẽ gây tê để bệnh nhân không cảm thấy khó chịu, sau đó mài một lớp mỏng men răng (khoảng 0.5 – 1.5mm) để tạo không gian cho mão sứ. Sau khi mài, nha sĩ sẽ lấy dấu hàm để gửi về phòng labo chế tác mão sứ cá nhân hóa, phù hợp với hình dáng và màu sắc của các răng còn lại. Trong thời gian chờ đợi mão sứ, bệnh nhân sẽ được gắn một răng tạm để bảo vệ cùi răng. Buổi thứ hai (hoặc thứ ba) là buổi thử và gắn mão sứ vĩnh viễn. Nha sĩ sẽ kiểm tra độ khít sát, màu sắc, hình dáng và khớp cắn trước khi gắn vĩnh viễn bằng keo dán nha khoa chuyên dụng.
Hiệu quả thẩm mỹ và lợi ích lâu dài
Bọc răng sứ mang lại hiệu quả thẩm mỹ cao, giúp cải thiện rõ rệt hình dáng và màu sắc của răng cửa. Mão sứ được chế tác từ các vật liệu tinh vi, có khả năng mô phỏng chính xác màu sắc và độ trong suốt của men răng tự nhiên, khiến cho răng bọc trở nên không thể phân biệt với răng thật. Bệnh nhân sẽ cảm thấy tự tin hơn khi giao tiếp, nụ cười trở nên rạng rỡ và thu hút hơn.
Ngoài ra, một ưu điểm nổi bật của bọc răng sứ là độ bền cao. Những mão răng sứ hiện đại có khả năng chịu lực tốt và không bị xỉn màu theo thời gian như các vật liệu khác. Với việc chăm sóc và vệ sinh đúng cách, tuổi thọ của mão răng sứ có thể lên đến 10-15 năm hoặc thậm chí lâu hơn. Điều này giúp tiết kiệm chi phí điều trị cũng như giảm thiểu sự cần thiết phải tái khám thường xuyên. Răng sứ không chỉ khắc phục tình trạng răng cửa bị thưa mà còn bảo vệ răng thật bên dưới khỏi nguy cơ sâu răng hay tổn thương.
Tuy nhiên, bọc răng sứ cũng có những nhược điểm nhất định. Quy trình mài răng có thể gây ra lo âu cho một số bệnh nhân, đặc biệt đối với những người có tâm lý nhạy cảm với đau đớn. Mặc dù nha sĩ sẽ sử dụng thuốc tê để giảm đau, nhưng vẫn có thể xảy ra cảm giác khó chịu trong quá trình thực hiện. Ngoài ra, chi phí cho bọc răng sứ thường cao hơn so với một số phương pháp khác như hàn răng. Bệnh nhân cần cân nhắc kỹ lưỡng trước khi quyết định, đặc biệt nếu ngân sách là một yếu tố quan trọng.
Tóm lại, bọc răng sứ là một lựa chọn tối ưu cho những ai muốn cải thiện tình trạng răng cửa bị thưa một cách hiệu quả và lâu dài. Phương pháp này không chỉ mang lại vẻ đẹp thẩm mỹ mà còn đảm bảo tính chất lượng và độ bền cho răng miệng.

Niềng răng: Phương pháp hiệu quả lâu dài cho răng thưa
Niềng răng là một phương pháp chỉnh nha phổ biến, được nhiều người áp dụng không chỉ để điều chỉnh vị trí răng mà còn để khắc phục tình trạng răng cửa bị thưa. Phương pháp này sử dụng các khí cụ chỉnh nha như mắc cài và dây cung, tạo ra lực kéo để di chuyển răng về vị trí mong muốn theo thời gian. Niềng răng không chỉ giúp khép những khoảng trống giữa các răng mà còn cải thiện sự căn chỉnh của hàm, giúp bệnh nhân có được hàm răng đều đặn và khỏe mạnh hơn.
Quá trình niềng răng thường kéo dài từ 1 đến 3 năm, tùy thuộc vào mức độ nghiêm trọng của tình trạng răng miệng. Trong các buổi hẹn, bác sĩ sẽ kiểm tra tiến độ di chuyển của răng và điều chỉnh lực kéo để đảm bảo răng di chuyển theo đúng kế hoạch. Một điểm mạnh của niềng răng là khả năng điều chỉnh rất linh hoạt, cho phép bác sĩ tùy chỉnh theo nhu cầu riêng của từng bệnh nhân.
Một trong những ưu điểm lớn nhất của phương pháp niềng răng là hiệu quả lâu dài. Sau khi kết thúc quá trình điều trị, bệnh nhân có thể duy trì kết quả vĩnh viễn nếu tuân thủ các hướng dẫn chăm sóc và đeo dụng cụ giữ (retainer) theo chỉ định của bác sĩ. Đây là giải pháp lý tưởng cho những ai mong muốn có một bộ răng đẹp và đều đặn mà không cần can thiệp nhiều vào cấu trúc răng thật.
Tuy nhiên, niềng răng cũng có những hạn chế. Chi phí thực hiện thường khá cao và thời gian điều trị kéo dài, đòi hỏi người bệnh phải kiên nhẫn. Hơn nữa, trong quá trình niềng, bệnh nhân sẽ phải thay đổi một số thói quen ăn uống và vệ sinh răng miệng để đảm bảo sức khỏe răng miệng trong suốt quá trình điều trị, điều này có thể gây bất tiện trong cuộc sống hàng ngày.
Dù vậy, niềng răng vẫn là một trong những phương pháp thích hợp để điều trị tình trạng răng cửa bị thưa, đồng thời mang lại nhiều lợi ích sức khỏe răng miệng và thẩm mỹ lâu dài.
Sử dụng veneer: Giải pháp thẩm mỹ nhanh chóng và tiện lợi
Veneer là một phương pháp thẩm mỹ hiện đại cho phép cải thiện tình trạng răng cửa bị thưa một cách nhanh chóng và hiệu quả. Vật liệu veneer thường được làm từ sứ hoặc composite, mỏng nhẹ và có thể được gắn trực tiếp lên bề mặt bên ngoài của răng. Quá trình thực hiện đơn giản hơn nhiều so với bọc răng sứ, vì veneer không yêu cầu mài răng nhiều, giữ nguyên phần lớn cấu trúc răng thật.
Quy trình thực hiện veneer thường bao gồm hai đến ba buổi hẹn. Trong buổi đầu tiên, nha sĩ sẽ thăm khám, tư vấn và lấy dấu hàm để chế tác veneer phù hợp với kích thước và hình dạng của răng thật. Trong trường hợp cần thiết, bác sĩ có thể mài một lớp rất mỏng men răng để tạo không gian cho veneer. Buổi tiếp theo sẽ là thử nghiệm và gắn veneer vĩnh viễn. Nha sĩ sẽ kiểm tra độ khít sát, màu sắc và hình dáng trước khi sử dụng keo chuyên dụng để cố định veneer trên răng.
Lợi ích lớn nhất của veneer là khả năng cải thiện thẩm mỹ ngay lập tức. Người bệnh có thể cảm nhận được sự thay đổi rõ rệt sau khi gắn veneer mà không cần chờ đợi lâu như phương pháp niềng răng. Veneer không chỉ lấp đầy khoảng trống giữa các răng mà còn tạo ra một vẻ bề ngoài rạng rỡ, tự nhiên. Hơn nữa, veneer sứ còn có độ bền cao, chống xỉn màu và có thể tồn tại từ 7 đến 15 năm nếu được chăm sóc tốt.
Tuy nhiên, veneer cũng có một số nhược điểm cần lưu ý. Các mão veneer có thể không bền bằng bọc răng sứ và dễ bị nứt nếu chịu lực quá lớn. Chi phí cho veneers cũng có thể cao, tương đương hoặc thậm chí cao hơn so với bọc răng sứ. Ngoài ra, mặc dù veneer ít xâm lấn hơn, việc mài men răng vẫn có thể tạo ra một số lo âu cho bệnh nhân.
Tóm lại, veneer là một lựa chọn tuyệt vời cho những ai đang tìm kiếm một giải pháp thẩm mỹ nhanh chóng và tiện lợi để khắc phục tình trạng răng cửa bị thưa mà không cần trải qua quá trình điều trị phức tạp.
Thông tin liên hệ:
- Địa chỉ: 25h Nguyễn Bỉnh Khiêm, Bến Nghé, Quận 1, Tp. Hồ Chí Minh.
- Số điện thoại: 0888.625.825
- Thời gian làm việc: Sáng: 8h – 12h, Chiều: 14h – 19h.
- Website: https://otisdental.vn/
- Fanpage: https://www.facebook.com/nhakhoaOtis
Kết luận
Tình trạng răng cửa thưa không chỉ ảnh hưởng đến thẩm mỹ mà còn tác động đến sức khỏe răng miệng và lòng tự tin của chúng ta. May mắn thay, có nhiều phương pháp điều trị hiệu quả như hàn răng, bọc răng sứ, niềng răng và sử dụng veneer. Mỗi phương pháp có ưu và nhược điểm riêng, do đó việc lựa chọn phương pháp phù hợp cần phải dựa trên đánh giá tình trạng răng miệng, ngân sách, và mong muốn của bệnh nhân. Việc chuẩn bị kỹ lưỡng trước khi điều trị, chăm sóc răng miệng sau khi điều trị, cũng như việc chọn lựa nha khoa uy tín là những yếu tố quan trọng quyết định đến thành công của quá trình điều trị. Tìm lại nụ cười tự tin và đều đẹp không chỉ mang lại vẻ đẹp bên ngoài mà còn góp phần nâng cao chất lượng cuộc sống của mỗi người.
