Răng khôn, chiếc răng mọc lên sau cùng, thường đi kèm với những cơn đau nhức và sự phiền toái. Nhưng vì nỗi sợ hãi về một cuộc tiểu phẫu, rất nhiều người đã chọn cách “sống chung với lũ”: cắn răng chịu đựng những đợt sưng đau rồi lại thôi, hy vọng rằng mọi chuyện sẽ ổn. Họ tự hỏi: “Chiếc răng này cũng là một phần cơ thể, tại sao phải nhổ đi?”, “Nhiều người không nhổ có sao đâu?”, và câu hỏi lớn nhất là “Nếu không nhổ răng khôn thì sao?”.
Với kinh nghiệm của một bác sĩ phẫu thuật, người đã phải xử lý những hậu quả đáng tiếc do việc trì hoãn nhổ răng khôn gây ra, tôi viết bài này như một lời cảnh tỉnh chân thành nhất. Việc giữ lại một chiếc răng khôn mọc lệch, mọc ngầm không phải là bạn đang “bảo tồn” một phần cơ thể, mà là bạn đang nuôi dưỡng một “quả bom nổ chậm” ngay trong chính xương hàm của mình. Bài viết này sẽ vạch ra một cách rõ ràng và khoa học nhất những gì có thể xảy ra nếu “quả bom” đó phát nổ.
Hãy cùng tôi tìm hiểu kỹ lưỡng:
- Tại sao một chiếc răng khôn “vô hại” lại có thể trở thành nguồn cơn của nhiều bệnh lý nguy hiểm?
- 7 “kịch bản” tồi tệ nhất có thể xảy ra nếu bạn phớt lờ chỉ định nhổ răng khôn.
- Sự tàn phá thầm lặng của răng khôn lên chiếc răng hàm số 7 quý giá.
- Liệu có trường hợp nào có thể an toàn giữ lại răng khôn không?
- So sánh chi phí: Chi phí nhổ răng phòng ngừa và chi phí khắc phục hậu quả, cái nào thực sự “đắt” hơn?
Đừng để sự chần chừ hôm nay biến thành sự hối tiếc ngày mai. Hãy trang bị kiến thức để đưa ra quyết định đúng đắn nhất cho sức khỏe lâu dài của bạn.
Tại sao răng khôn mọc lệch lại là “quả bom nổ chậm”?
Răng khôn mọc lệch được ví như “quả bom nổ chậm” vì vị trí và hướng mọc bất thường của nó tạo ra một môi trường không thể vệ sinh, trở thành một ổ tích tụ vi khuẩn mạn tính. Từ ổ vi khuẩn này, các vấn đề như viêm nhiễm, sâu răng và sự phá hủy các cấu trúc lân cận có thể bùng phát bất cứ lúc nào, đặc biệt là khi sức đề kháng của cơ thể suy giảm.

Không giống như các răng khác mọc thẳng hàng và dễ dàng làm sạch, răng khôn mọc lệch tạo ra những “góc chết” trong cung hàm:
- Khe giắt thức ăn: Khoảng trống giữa răng khôn và răng số 7 bên cạnh trở thành một cái bẫy thức ăn không thể làm sạch bằng bàn chải hay chỉ nha khoa thông thường.
- Túi lợi viêm nhiễm: Vạt nướu phủ lên chiếc răng mọc kẹt (lợi trùm) là một cái túi chứa đầy vi khuẩn, luôn trong tình trạng viêm nhiễm âm ỉ.
“Quả bom” này có thể nằm im trong nhiều năm, nhưng nó sẽ “phát nổ” khi có điều kiện thuận lợi, ví dụ như khi bạn bị stress, ốm, mệt mỏi, hoặc phụ nữ trong giai đoạn mang thai. Và khi nó phát nổ, hậu quả sẽ rất khó lường.
7 Biến chứng nguy hiểm nếu không nhổ răng khôn mọc lệch?
Việc không nhổ răng khôn mọc lệch sẽ dẫn đến 7 biến chứng nguy hiểm: (1) Viêm lợi trùm tái phát, (2) Gây sâu hỏng răng số 7, (3) Xô lệch toàn bộ hàm răng, (4) Viêm nhiễm lan rộng, (5) Hình thành u nang phá hủy xương hàm, (6) Rối loạn cảm giác và phản xạ, (7) Gây hôi miệng mạn tính.

Đây là những “kịch bản” có thật đã được y văn ghi nhận và là điều mà các nha sĩ gặp phải hàng ngày.
-
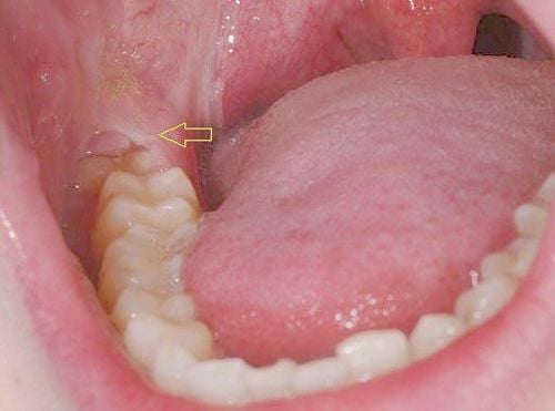
1. Viêm lợi trùm tái đi tái lại
Đây là biến chứng phổ biến và sớm nhất. Vạt nướu phủ trên răng khôn bị viêm, sưng đỏ, đau nhức. Trường hợp nặng có thể chảy mủ, gây sốt, và làm bạn không thể há miệng to (khít hàm). Tình trạng này sẽ tái đi tái lại nhiều lần, ngày càng nặng hơn và ảnh hưởng nghiêm trọng đến chất lượng cuộc sống.
-
2. Gây sâu và phá hủy răng số 7 (Hậu quả đáng tiếc nhất)
Đây là hậu quả nghiêm trọng và gây nhiều hối tiếc nhất. Răng khôn mọc nghiêng, húc vào răng số 7 tạo ra một vị trí giắt thức ăn không thể làm sạch. Theo thời gian, axit do vi khuẩn sinh ra sẽ ăn mòn, gây ra một lỗ sâu lớn ở mặt sau của răng số 7 – vị trí khó phát hiện và rất khó để trám.
💡 Cảnh báo từ chuyên gia (Experience): Răng số 7 là một trong những răng ăn nhai chính và quan trọng nhất. Rất nhiều trường hợp, khi phát hiện ra thì lỗ sâu ở răng số 7 đã quá lớn, ăn vào tủy, thậm chí vỡ lớn không thể giữ lại. Cuối cùng, bạn không chỉ phải nhổ răng khôn, mà còn mất luôn cả chiếc răng số 7 quý giá bên cạnh. Hy sinh một chiếc răng vô dụng để cứu một chiếc răng trụ cột là một quyết định khôn ngoan. -
3. Xô lệch toàn bộ hàm răng
Khi răng khôn mọc lệch, nó tạo ra một lực đẩy liên tục về phía trước. Lực đẩy âm ỉ này có thể góp phần làm cho các răng phía trước bị chen chúc, xô lệch, đặc biệt là vùng răng cửa dưới. Nó có thể phá hỏng kết quả niềng răng mà bạn đã tốn nhiều công sức và tiền bạc để có được.
-
4. Nhiễm trùng lan rộng (Áp-xe)
Ổ nhiễm trùng từ lợi trùm hoặc từ chân răng khôn không được giải quyết có thể không khu trú tại chỗ mà lan rộng ra các mô mềm xung quanh, gây ra các khối áp-xe nguy hiểm ở má, sàn miệng, vùng dưới hàm, thậm chí lan xuống cổ. Những trường hợp này có thể gây biến dạng mặt, khó thở và cần phải nhập viện để phẫu thuật.
-
5. Hình thành U nang phá hủy xương hàm
Đây là một biến chứng thầm lặng nhưng cực kỳ nguy hiểm của những chiếc răng khôn mọc ngầm hoàn toàn trong xương. Túi mầm răng bao quanh thân răng khôn có thể bị thoái hóa và phát triển thành một khối u nang chứa đầy dịch. U nang này sẽ lớn dần, gây tiêu xương hàm một cách từ từ, có thể phá hủy chân răng số 7, chèn ép dây thần kinh hoặc thậm chí gây gãy xương hàm bệnh lý.
-
6. Gây rối loạn cảm giác và phản xạ
Răng khôn mọc ngầm, chèn ép vào dây thần kinh hàm dưới có thể gây ra các triệu chứng như đau nhức lan tỏa, dị cảm (tê, kiến bò) ở môi, cằm hoặc lưỡi.
-
7. Hôi miệng mạn tính
Ổ vi khuẩn thường trực ở khu vực răng khôn là một trong những nguyên nhân hàng đầu gây ra tình trạng hôi miệng dai dẳng mà việc vệ sinh thông thường không thể giải quyết được.
Liệu có trường hợp nào có thể an toàn giữ lại răng khôn không?
Có. Bạn hoàn toàn có thể an toàn giữ lại răng khôn nếu nó đáp ứng đầy đủ tất cả các điều kiện của một chiếc răng mọc bình thường: mọc thẳng, trồi lên hoàn toàn, khớp cắn tốt với răng đối diện và nằm ở vị trí có thể vệ sinh sạch sẽ hàng ngày mà không gây ra bất kỳ biến chứng nào.

Tuy nhiên, những trường hợp “may mắn” này chỉ chiếm một tỷ lệ rất nhỏ. Để xác định chắc chắn, bạn cần đến nha khoa để được thăm khám và chụp phim X-quang. Bác sĩ sẽ là người đưa ra lời khuyên chính xác nhất.
Checklist “An toàn” cho chiếc răng khôn của bạn
- ✔️ Răng mọc thẳng, không bị nghiêng, không bị xoay.
- ✔️ Toàn bộ thân răng đã trồi lên khỏi nướu, không có vạt nướu nào che phủ.
- ✔️ Có răng đối diện ăn khớp tốt, tham gia vào chức năng ăn nhai.
- ✔️ Khe giữa răng khôn và răng số 7 không bị giắt thức ăn.
- ✔️ Bạn có thể đưa bàn chải và chỉ nha khoa vào để làm sạch tất cả các mặt của nó.
- ✔️ Phim X-quang cho thấy răng không có dấu hiệu sâu, không có bệnh nha chu hay u nang.
Nếu chiếc răng khôn của bạn thiếu dù chỉ một trong các điều kiện trên, nó vẫn được xem là một yếu tố nguy cơ và việc nhổ bỏ phòng ngừa thường là lựa chọn được khuyến khích.
So sánh chi phí: Nhổ răng phòng ngừa và Chi phí khắc phục hậu quả?
Chi phí để nhổ một chiếc răng khôn phòng ngừa thấp hơn rất nhiều lần so với tổng chi phí để khắc phục các hậu quả do nó gây ra. Việc trì hoãn không chỉ tốn kém hơn về tiền bạc mà còn cả về thời gian, sức khỏe và sự đau đớn.
Hãy làm một bài toán kinh tế đơn giản để thấy rõ sự khác biệt.
| Hành động: NHỔ RĂNG KHÔN SỚM | Hành động: TRÌ HOÃN (đến khi có biến chứng) |
|---|---|
Chi phí:
Kết quả:
|
Chi phí (kịch bản xấu nhất):
Kết quả:
|
| TỔNG: ~ 1.5 – 3 TRIỆU | TỔNG: ~ 8.5 – 36 TRIỆU+ |
Rõ ràng, việc đầu tư vào phòng ngừa luôn là quyết định khôn ngoan nhất.
NHA KHOA OTIS – TƯ VẤN VÀ ĐIỀU TRỊ RĂNG KHÔN AN TOÀN
Tại Nha khoa Otis, chúng tôi hiểu rằng quyết định nhổ răng khôn cần được đưa ra dựa trên những bằng chứng y khoa rõ ràng. Với hệ thống chẩn đoán hình ảnh CT Cone Beam 3D, đội ngũ bác sĩ chuyên khoa phẫu thuật của chúng tôi sẽ thăm khám, phân tích kỹ lưỡng tình trạng răng khôn của bạn và đưa ra lời khuyên chính xác nhất: nên nhổ hay có thể giữ lại. Chúng tôi sẽ giải thích cặn kẽ về những nguy cơ tiềm ẩn và lợi ích của việc can thiệp sớm. Nếu cần phải nhổ, chúng tôi cam kết thực hiện một quy trình phẫu thuật an toàn, nhẹ nhàng và ít sang chấn nhất để bạn có thể yên tâm giải quyết “quả bom nổ chậm” và bảo vệ sức khỏe răng miệng lâu dài.
- Địa chỉ: Số 25H Nguyễn Bỉnh Khiêm, phường Sài Gòn, Tp. HCM
- SĐT: 0888.625.825
- Fanpage: https://www.facebook.com/nhakhoaOtis/
- Website: otisdental.vn
