Chào bạn, tôi là bác sĩ nha khoa tại Otis Dental. Bạn có bao giờ tưởng tượng được cảm giác khi khép miệng lại nhưng các răng hàm trên và hàm dưới của mình lại không thể chạm vào nhau? Đối với nhiều bệnh nhân niềng răng, đây là một trải nghiệm khá “kỳ lạ” và đôi khi gây ra sự lo lắng tột độ khi bắt đầu giai đoạn nâng khớp cắn trong niềng răng.
- Nâng khớp cắn trong niềng răng là gì và tại sao bác sĩ lại chỉ định?
- Các phương pháp nâng khớp cắn trong niềng răng phổ biến nhất hiện nay?
- Nâng khớp cắn trong niềng răng có đau không và bao lâu thì tháo?
- Những lưu ý đặc biệt về ăn uống và vệ sinh khi nâng khớp cắn?
- Những rủi ro có thể gặp phải khi nâng khớp cắn là gì?
Thực tế, nâng khớp cắn là một trong những thủ thuật đỉnh cao của chỉnh nha hiện đại. Nó không chỉ đơn thuần là đặt một “vật cản” trong miệng mà là một chiến thuật tính toán tỉ mỉ để giải phóng các răng đang bị “khóa” bởi khớp cắn sai lệch. Nếu bạn đang bị khớp cắn sâu (răng trên bao phủ quá nhiều răng dưới) hoặc khớp cắn chéo, nâng khớp chính là chiếc chìa khóa giúp rút ngắn thời gian điều trị của bạn lên đến vài tháng.
Trong bài viết chuyên sâu này, tôi sẽ đồng hành cùng bạn để giải mã tất cả những thắc mắc: Nâng khớp cắn thực chất là làm gì? Tại sao bạn lại cảm thấy ê buốt trong những ngày đầu? Làm thế nào để ăn uống “sống sót” qua giai đoạn này? Và quan trọng nhất là những kinh nghiệm thực tế giúp bạn có một hành trình chỉnh nha êm ái nhất. Hãy cùng tôi khám phá nhé!
Nâng khớp cắn trong niềng răng là gì và tại sao bác sĩ lại chỉ định?
Nâng khớp cắn là thủ thuật tạm thời giúp ngăn chặn việc hàm trên chạm vào hàm dưới quá mức, từ đó bảo vệ mắc cài và hỗ trợ dịch chuyển răng về vị trí mong muốn nhanh hơn.

Để hiểu rõ nâng khớp cắn trong niềng răng là gì, bạn hãy tưởng tượng khớp cắn của mình như một chiếc hộp. Nếu nắp hộp đậy quá sâu, các vật dụng bên trong sẽ bị chèn ép và khó di dời. Trong chỉnh nha, khi răng hàm trên phủ quá sâu lên răng hàm dưới, mỗi khi bạn nhai, răng hàm trên sẽ va chạm mạnh vào mắc cài của răng hàm dưới. Lực va chạm này cực kỳ lớn, có thể làm bong mắc cài ngay lập tức.
Bằng cách đặt các cục nâng khớp (thường là những khối nhựa nhỏ màu xanh hoặc trắng), bác sĩ tạo ra một khoảng hở giữa hai hàm. Khoảng hở này có 3 nhiệm vụ chính:
- Giải phóng sự cản trở: Giúp các răng di chuyển mà không bị “vướng” vào nhau.
- Bảo vệ khí cụ: Ngăn không cho răng cửa trên cắn vỡ mắc cài hàm dưới.
- Điều chỉnh xương hàm: Kích thích sự thích nghi của khớp thái dương hàm và cơ nhai về vị trí chuẩn.
💡 Mẹo của chuyên gia: Đừng quá lo lắng nếu bạn cảm thấy gương mặt mình hơi “dài ra” khi nâng khớp. Đây chỉ là hiệu ứng thẩm mỹ tạm thời và sẽ biến mất khi khớp cắn được ổn định.
> Xem thêm: Khớp cắn sâu là gì? Tại sao cần điều trị sớm bằng niềng răng?
Khi nào bạn thực sự cần nâng khớp cắn trong niềng răng?
Nâng khớp cắn được chỉ định bắt buộc cho bệnh nhân khớp cắn sâu nặng, khớp cắn chéo hoặc những người có thói quen nghiến răng gây hại cho mắc cài.
Không phải tất cả mọi người niềng răng đều phải nâng khớp. Tôi thường đưa ra chỉ định nâng khớp cắn trong niềng răng cho các trường hợp sau:
- Khớp cắn sâu: Khi răng cửa hàm trên che khuất hơn 50% răng cửa hàm dưới. Nếu không nâng khớp, bạn sẽ cắn trực tiếp lên mắc cài hàm dưới mỗi khi ăn nhai.
- Khớp cắn chéo: Một hoặc vài răng hàm trên bị nằm phía trong răng hàm dưới. Nâng khớp giúp “mở khóa” để các răng này có không gian nhảy ra ngoài.
- Răng mọc lệch lạc nghiêm trọng: Khi các răng chen chúc xô đẩy nhau, việc nâng khớp giúp nới lỏng toàn bộ cung hàm để dây cung hoạt động hiệu quả hơn.
- Nghiến răng: Với những bệnh nhân có lực nhai quá mạnh hoặc nghiến răng khi ngủ, nâng khớp đóng vai trò như một lớp đệm giảm chấn bảo vệ men răng và mắc cài.
💡 Kinh nghiệm thực tế: Tôi đã từng gặp bệnh nhân bị bong mắc cài 3 lần trong một tuần chỉ vì lỡ quên không chỉ định nâng khớp sớm. Sau khi đặt cục nâng khớp, mọi thứ diễn ra vô cùng thuận lợi!
Nâng khớp cắn trong niềng răng có tác dụng gì đối với khớp thái dương hàm?
Nâng khớp cắn giúp giảm áp lực lên khớp thái dương hàm, hỗ trợ điều trị các chứng đau mỏi cơ hàm do sai lệch khớp cắn lâu ngày gây ra.
Mối liên hệ giữa nâng khớp cắn trong niềng răng và khớp thái dương hàm (TMJ) rất sâu sắc. Khi bạn có khớp cắn sai, các cơ hàm luôn trong trạng thái căng thẳng để cố gắng tìm vị trí tiếp xúc. Nâng khớp cắn giúp đưa hàm về một “vị trí nghỉ” mới trung lập hơn. [EXTERNAL_LINK_URL] (Link tham khảo về cơ sinh học khớp thái dương hàm từ Hiệp hội Chỉnh nha Thế giới – nofollow).
> Xem thêm: Dấu hiệu nhận biết và cách điều trị rối loạn khớp thái dương hàm
Các phương pháp nâng khớp cắn trong niềng răng phổ biến nhất hiện nay?
Có 2 hình thức chính là nâng khớp mặt sau răng cửa (Bite Turbos) và nâng khớp tại răng hàm (Posterior Bites), tùy thuộc vào kiểu lệch lạc của răng.

Tùy vào sơ đồ dịch chuyển răng của bạn, tôi sẽ lựa chọn vị trí đặt khí cụ nâng khớp phù hợp:
| Loại nâng khớp | Vị trí đặt | Trường hợp áp dụng | Ưu điểm |
|---|---|---|---|
| Nâng khớp răng cửa | Mặt trong răng cửa trên | Khớp cắn sâu | Tính thẩm mỹ cao, không thấy khi cười |
| Nâng khớp răng hàm | Mặt nhai răng hàm số 6, 7 | Khớp cắn ngược, cắn chéo | Giảm áp lực nhai tốt hơn |
| Hàm nâng khớp tháo lắp | Toàn bộ cung hàm | Trường hợp phức tạp | Dễ vệ sinh hơn |
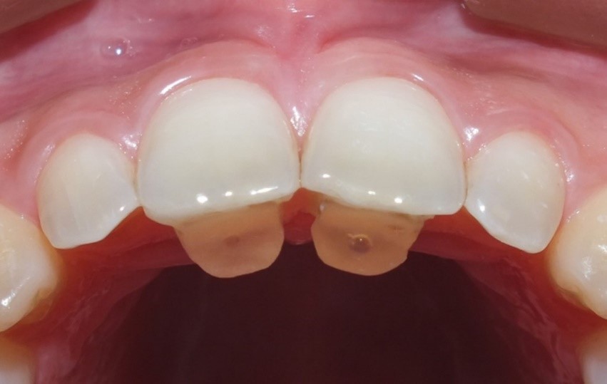
Cục nâng khớp cắn bằng Composite (Bite Turbos) là gì?
Đây là phương pháp phổ biến nhất, sử dụng vật liệu Composite nha khoa đắp trực tiếp lên mặt trong răng cửa để ngăn hàm dưới đóng quá sâu.
Nâng khớp bằng Composite (hay còn gọi là Bite Turbos) là giải pháp nhanh gọn và hiệu quả. Bác sĩ sẽ dùng vật liệu Composite (giống như loại dùng để trám răng) đắp thành hai khối nhỏ ở mặt sau của hai răng cửa hàm trên. Khi bạn ngậm miệng, răng cửa hàm dưới sẽ chạm vào hai khối này trước khi các răng hàm có thể chạm vào nhau.
💡 Mẹo của bác sĩ: Chúng tôi thường chọn Composite màu xanh (blue) để dễ dàng phân biệt với men răng thật, giúp việc mài bỏ sau này diễn ra an toàn và không gây hại đến răng tự nhiên của bạn.
Tấm nâng khớp cắn (Bite Plate) được sử dụng khi nào?
Tấm nâng khớp cắn là một khí cụ tháo lắp bằng nhựa được đeo ở hàm trên, giúp điều chỉnh sự phát triển của xương hàm và cơ nhai trong các ca khó.
Khác với cục nâng khớp cố định, Bite Plate trông giống như một chiếc hàm duy trì nhưng có phần mặt phẳng nhựa dày ở phía trước. Loại này thường được dùng cho trẻ em hoặc thanh thiếu niên đang trong giai đoạn phát triển xương hàm, giúp kích thích răng hàm mọc trồi lên để tự động điều chỉnh khớp cắn sâu một cách tự nhiên nhất.
> Xem thêm: Hàm duy trì là gì? Tại sao phải đeo sau khi tháo niềng?
Nâng khớp cắn trong niềng răng có đau không và bao lâu thì tháo?
Quá trình lắp cục nâng khớp hoàn toàn không đau, nhưng bạn sẽ cảm thấy ê buốt răng và mỏi cơ hàm trong khoảng 3-7 ngày đầu tiên khi cơ thể đang tập thích nghi.
Câu hỏi nâng khớp cắn trong niềng răng có đau không luôn là nỗi trăn trở của bệnh nhân. Tôi xin khẳng định: Nó không “đau” theo kiểu bị nhổ răng, mà nó gây ra sự “khó chịu cực độ” về mặt chức năng. Vì các răng hàm không chạm nhau, bạn sẽ cảm thấy mình không thể nhai nát thức ăn, kèm theo đó là cảm giác mỏi nhừ ở vùng khớp thái dương hàm.
Tuy nhiên, cơ thể con người rất kỳ diệu. Chỉ sau khoảng 1 tuần, não bộ sẽ học cách điều khiển cơ nhai thích ứng với vật cản mới, và các cơn ê ẩm sẽ biến mất. Việc nâng khớp cắn cũng giống như việc bạn bắt đầu tập gym, những ngày đầu sẽ mỏi cơ nhưng sau đó bạn sẽ thấy mình khỏe hơn!
Thời gian đeo cục nâng khớp cắn thường kéo dài bao lâu?
Thời gian đeo nâng khớp thường kéo dài từ 3 đến 12 tháng tùy thuộc vào tốc độ dịch chuyển của răng và mức độ sai lệch khớp cắn ban đầu.
Tôi sẽ tháo bỏ các cục nâng khớp này ngay khi các răng đã đạt được sự dịch chuyển an toàn, không còn nguy cơ va chạm vào mắc cài nữa. Thông thường, với những ca khớp cắn sâu trung bình, thời gian chỉ khoảng 3-4 tháng. Nhưng với những ca khớp cắn ngược (móm) nặng, bạn có thể phải “sống chung” với nó lâu hơn một chút để đảm bảo răng trên đã nhảy hẳn ra ngoài răng dưới.
> Xem thêm: Niềng răng mất bao lâu? Các giai đoạn niềng răng chuẩn y khoa
Những lưu ý đặc biệt về ăn uống và vệ sinh khi nâng khớp cắn?
Chế độ ăn mềm, lỏng và vệ sinh kỹ lưỡng tại các điểm nâng khớp là chìa khóa để bạn vượt qua giai đoạn này mà không bị sụt cân hay sâu răng.
Việc ăn uống khi đang nâng khớp cắn trong niềng răng là thử thách lớn nhất. Vì răng không chạm nhau, lực nghiền nát thức ăn bị giảm sút nghiêm trọng. Dưới đây là lộ trình ăn uống tôi khuyên bạn:
Nên ăn gì và kiêng gì khi đang nâng khớp cắn trong niềng răng?
Trong tuần đầu, hãy ưu tiên các thực phẩm mềm như cháo, súp, sữa chua. Tránh tuyệt đối đồ ăn cứng, dai vì có thể làm bong cục nâng khớp hoặc gây đau khớp hàm.
- Nên ăn: Sinh tố, trứng hấp, đậu phụ, cá nấu mềm, cơm nát, mỳ sợi mềm. Hãy cắt nhỏ mọi thứ để giảm bớt gánh nặng cho răng.
- Kiêng ăn: Các loại hạt (hạnh nhân, lạc), kẹo cứng, chân gà, sườn sụn, bắp ngô cắn trực tiếp. Những thứ này không chỉ làm bung cục nâng khớp mà còn có thể khiến bạn đau nhói đến tận óc.
💡 Mẹo của chuyên gia: Nếu bạn cảm thấy quá khó khăn khi nhai, hãy thử dùng máy xay sinh tố xay nhuyễn thức ăn trong 3 ngày đầu. Đừng để mình bị sụt cân, sức khỏe tốt mới giúp răng dịch chuyển nhanh được!
Cách vệ sinh cục nâng khớp để tránh hôi miệng và sâu răng?
Sử dụng máy tăm nước và bàn chải kẽ để làm sạch các khe hở quanh cục nâng khớp, nơi thức ăn rất dễ bị dắt vào và gây mùi hôi.
Xung quanh các cục Composite nâng khớp thường có những khe nhỏ. Nếu không vệ sinh kỹ, vi khuẩn sẽ tích tụ gây viêm nướu và hôi miệng. Bạn nên dùng bàn chải điện phối hợp cùng máy tăm nước để thổi bay mảng bám. Việc sử dụng nước súc miệng chứa Fluoride trong giai đoạn này cũng rất quan trọng để bảo vệ men răng tại các điểm nâng khớp.
> Xem thêm: Cách vệ sinh răng miệng khi niềng răng để tránh sâu răng, hôi miệng
Những rủi ro có thể gặp phải khi nâng khớp cắn là gì?
Rủi ro phổ biến bao gồm bong cục nâng khớp, mòn men răng đối diện hoặc khó chịu kéo dài ở khớp thái dương hàm nếu lực nâng không chuẩn.
Dù là một kỹ thuật an toàn, nhưng nâng khớp cắn trong niềng răng vẫn tiềm ẩn một số vấn đề mà bạn cần trao đổi ngay với bác sĩ:
- Bong cục nâng khớp: Do lực nhai quá mạnh hoặc Composite bám không chắc. Nếu bị bong, hãy liên hệ nha khoa để gắn lại ngay, tránh để răng cắn trúng mắc cài.
- Nói ngọng: Trong vài ngày đầu, lưỡi của bạn sẽ bị vướng bởi vật lạ, dẫn đến việc phát âm không chuẩn các âm “s”, “l”, “n”. Hãy luyện đọc sách to mỗi ngày để lưỡi làm quen nhanh hơn.
- Mòn răng: Nếu cục nâng khớp làm bằng vật liệu quá cứng và tồn tại quá lâu, nó có thể gây mòn nhẹ men răng đối diện. Tuy nhiên, bác sĩ giàu kinh nghiệm sẽ biết cách kiểm soát điều này.
- Tác động tâm lý: Sự bất tiện trong ăn uống có thể khiến bạn cáu gắt. Hãy hiểu rằng đây là một bước tiến quan trọng để nụ cười của bạn trở nên hoàn hảo.
Tóm lại, nâng khớp cắn trong niềng răng là một thử thách ngắn hạn nhưng mang lại lợi ích dài hạn vô giá. Nó bảo vệ khí cụ, giải phóng răng và giúp khớp cắn của bạn đạt đến độ chuẩn xác mà niềng răng thông thường khó làm được. Hãy kiên trì vượt qua tuần đầu tiên, và bạn sẽ thấy mọi thứ trở nên nhẹ nhàng hơn rất nhiều. Một nụ cười rạng rỡ và khớp cắn khỏe mạnh đang chờ đợi bạn ở phía trước!
NHA KHOA OTIS – CHUYÊN GIA NIỀNG RĂNG KHỚP CẮN CHUẨN
Tại Nha khoa Otis, chúng tôi không chỉ làm thẳng răng mà còn chú trọng thiết kế khớp cắn sinh học hoàn hảo cho từng khách hàng. Với kỹ thuật nâng khớp cắn không đau, sử dụng vật liệu cao cấp và phác đồ điều trị cá nhân hóa, Otis cam kết mang lại cho bạn trải nghiệm niềng răng thoải mái và hiệu quả nhất. Hãy để Otis đồng hành cùng bạn trên hành trình kiến tạo nụ cười hạnh phúc!
NHA KHOA OTIS – NHA KHOA UY TÍN HCM
- Địa chỉ: Số 25H Nguyễn Bỉnh Khiêm, phường Sài Gòn, Tp. HCM
- SĐT: 0888.625.825
- Fanpage: https://www.facebook.com/nhakhoaOtis/
- Website: otisdental.vn

