Sau khi nhổ răng, đặc biệt là nhổ răng khôn, việc cảm thấy đau, sưng và khó chịu trong vài ngày đầu là một phần hoàn toàn bình thường của quá trình lành thương. Tuy nhiên, ranh giới giữa những triệu chứng hậu phẫu thông thường và các dấu hiệu cảnh báo của một biến chứng nguy hiểm – nhiễm trùng – lại khá mong manh. Việc chủ quan, lầm tưởng “chắc là vẫn còn đau thôi” có thể dẫn đến những hậu quả nghiêm trọng, khiến quá trình điều trị trở nên phức tạp và tốn kém hơn rất nhiều.
Với kinh nghiệm của một bác sĩ, người luôn nhấn mạnh tầm quan trọng của việc theo dõi sau phẫu thuật, tôi viết bài này như một “tấm bản đồ” y khoa, giúp bạn nhận diện chính xác các “tín hiệu SOS” mà cơ thể đang gửi đi. Bài viết này không nhằm mục đích gây hoang mang, mà là để trang bị cho bạn kiến thức cần thiết để phân biệt, theo dõi và hành động kịp thời. Sự hiểu biết và cảnh giác của bạn chính là tuyến phòng thủ quan trọng nhất.
Hãy cùng tôi tìm hiểu kỹ lưỡng:
- Làm thế nào để phân biệt giữa sưng đau bình thường và sưng đau do nhiễm trùng?
- 5 dấu hiệu “cờ đỏ” cảnh báo nhiễm trùng mà bạn tuyệt đối không được bỏ qua.
- Tại sao vết thương sau nhổ răng lại có nguy cơ bị nhiễm trùng?
- Bạn cần làm gì ngay lập tức khi nghi ngờ mình bị nhiễm trùng?
- Các phương pháp phòng ngừa nhiễm trùng hiệu quả nhất tại nhà.
Hãy trở thành một bệnh nhân thông thái, lắng nghe cơ thể mình và biết khi nào cần tìm đến sự giúp đỡ của chuyên gia để đảm bảo một quá trình hồi phục an toàn và trọn vẹn.
Làm thế nào để phân biệt giữa sưng đau bình thường và dấu hiệu nhiễm trùng?
Sự khác biệt cốt lõi nằm ở diễn tiến theo thời gian. Sưng đau bình thường sẽ đạt đỉnh điểm vào ngày thứ 2-3 sau nhổ rồi giảm dần. Ngược lại, sưng đau do nhiễm trùng sẽ không giảm mà còn có xu hướng nặng hơn, đau dữ dội hơn sau ngày thứ 3 và thường đi kèm với các triệu chứng toàn thân như sốt, mệt mỏi.

Hiểu rõ về “quy luật” lành thương thông thường sẽ giúp bạn có một thước đo để so sánh và nhận biết các dấu hiệu bất thường.
| Tiêu chí | Diễn tiến lành thương BÌNH THƯỜNG | Dấu hiệu cảnh báo NHIỄM TRÙNG |
|---|---|---|
| Cơn đau | Đau nhiều nhất trong 1-2 ngày đầu, đáp ứng tốt với thuốc giảm đau và giảm dần từ ngày thứ 3 trở đi. | Cơn đau không giảm mà còn dữ dội hơn sau ngày thứ 3, đau giật theo nhịp mạch, lan lên tai và đầu. Thuốc giảm đau ít tác dụng. |
| Sưng tấy | Sưng to nhất vào ngày thứ 2-3, sau đó bắt đầu xẹp dần. Vùng da có thể hơi ấm. | Vết sưng không xẹp mà còn lan rộng hơn, cứng và nóng ran khi chạm vào. |
| Triệu chứng toàn thân | Có thể hơi mệt mỏi, sốt nhẹ (dưới 38°C) trong 1-2 ngày đầu. | Sốt cao kéo dài (trên 38.5°C), ớn lạnh, mệt mỏi, chán ăn. |
| Tại vết thương | Có cục máu đông màu sẫm trong huyệt ổ răng, nướu dần khép miệng. | Có dịch mủ màu trắng hoặc vàng chảy ra, mùi hôi thối nồng nặc. |
5 Dấu hiệu nhiễm trùng sau khi nhổ răng bạn TUYỆT ĐỐI không được bỏ qua
Năm dấu hiệu “cờ đỏ” của nhiễm trùng sau nhổ răng bao gồm: (1) Sốt cao kéo dài, (2) Đau nhức dữ dội và tăng dần sau 3 ngày, (3) Sưng to, cứng và nóng ran ở mặt, (4) Có mủ chảy ra từ vết thương, (5) Hôi miệng nghiêm trọng và có vị lạ.

Nếu bạn gặp bất kỳ dấu hiệu nào trong danh sách này, đừng chần chừ, hãy liên hệ ngay với nha sĩ của bạn.
1. Sốt cao kéo dài
Sốt nhẹ (dưới 38°C) trong 24 giờ đầu có thể là phản ứng bình thường của cơ thể. Tuy nhiên, nếu bạn bị sốt cao từ 38.5°C trở lên, kéo dài sang ngày thứ hai, thứ ba, kèm theo cảm giác ớn lạnh, mệt mỏi, đây là dấu hiệu rõ ràng cho thấy cơ thể đang phải chống chọi với một ổ nhiễm trùng.
2. Đau nhức dữ dội và tăng dần
Như đã phân tích, cơn đau phải giảm dần theo thời gian. Nếu sau ngày thứ 3, bạn thấy cơn đau không những không giảm mà còn trở nên tồi tệ hơn, đau giật theo nhịp đập, đau đến mức không thể ngủ được và thuốc giảm đau không còn hiệu quả, đó là dấu hiệu của nhiễm trùng hoặc biến chứng khô ổ răng.
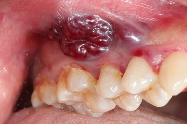
3. Sưng tấy lan rộng, cứng và nóng
Vết sưng bình thường sẽ mềm và giảm dần. Ngược lại, vết sưng do nhiễm trùng (áp-xe) có đặc điểm:
- Không giảm mà còn lan rộng hơn sang các vùng khác như sàn miệng, dưới cằm, vùng mắt.
- Ấn vào cảm thấy cứng chắc thay vì mềm.
- Da vùng sưng có màu đỏ, căng bóng và nóng ran.
- Có thể gây khó há miệng, khó nuốt hoặc khó thở – đây là những dấu hiệu cực kỳ nguy hiểm.
4. Có mủ chảy ra từ vết thương
Đây là dấu hiệu chắc chắn nhất của nhiễm trùng. Bạn có thể thấy một dịch lỏng màu trắng, vàng hoặc xanh chảy ra từ huyệt ổ răng, đặc biệt là khi ấn nhẹ vào vùng nướu xung quanh. Mủ thường có mùi hôi rất khó chịu.
5. Hơi thở có mùi hôi nồng nặc và có vị lạ
Hơi thở có mùi nhẹ sau khi nhổ răng là bình thường. Nhưng nếu bạn cảm thấy trong miệng liên tục có mùi hôi thối nồng nặc, kèm theo vị mặn hoặc đắng của mủ mà việc súc miệng không thể loại bỏ được, đó là dấu hiệu của một ổ nhiễm trùng đang hoạt động mạnh mẽ.
Nguyên nhân gây nhiễm trùng và cách phòng ngừa hiệu quả?
Nguyên nhân gây nhiễm trùng sau nhổ răng có thể đến từ quy trình phẫu thuật không đảm bảo vô trùng, hoặc do bệnh nhân chăm sóc vết thương tại nhà không đúng cách. Cách phòng ngừa hiệu quả nhất là lựa chọn nha khoa uy tín và tuân thủ nghiêm ngặt các hướng dẫn chăm sóc hậu phẫu của bác sĩ.

Nguyên nhân từ phía nha khoa
- Quy trình vô trùng không đảm bảo: Dụng cụ, tay khoan không được tiệt trùng đúng cách, phòng phẫu thuật không vô trùng… có thể đưa vi khuẩn từ bên ngoài vào vết thương.
- Sót lại dị vật: Sót lại mảnh chân răng, mảnh xương vỡ hoặc các mô viêm trong huyệt ổ răng.
- Kỹ thuật kém: Thao tác thô bạo gây dập nát nhiều mô, tạo điều kiện cho vi khuẩn dễ xâm nhập và phát triển.
Nguyên nhân từ phía bệnh nhân (Phổ biến hơn)
- Vệ sinh răng miệng kém: Không tuân thủ hướng dẫn vệ sinh, để thức ăn và mảng bám tích tụ quanh vết thương.
- Làm bong cục máu đông: Khạc nhổ, súc miệng mạnh, hút thuốc lá… làm mất đi “hàng rào bảo vệ” tự nhiên của vết thương.
- Dùng tay hoặc vật nhọn chọc vào vết thương: Đưa trực tiếp vi khuẩn vào sâu bên trong.
- Không uống thuốc theo toa: Tự ý ngưng kháng sinh sớm khi vừa thấy đỡ đau.
- Sức đề kháng yếu: Người có bệnh nền như tiểu đường, suy giảm miễn dịch có nguy cơ nhiễm trùng cao hơn.
Làm thế nào để phòng ngừa nhiễm trùng?
💡 Lời khuyên vàng từ chuyên gia (Experience): “Phòng bệnh hơn chữa bệnh”. Hãy chủ động bảo vệ vết thương của mình.
- Lựa chọn nha khoa uy tín: Đảm bảo rằng bạn nhổ răng tại một cơ sở có quy trình vô trùng nghiêm ngặt.
- Tuân thủ “bộ quy tắc vàng” sau nhổ: Uống thuốc đúng và đủ, chườm đá, ăn mềm, và đặc biệt là giữ gìn cục máu đông.
- Giữ vệ sinh răng miệng sạch sẽ nhưng nhẹ nhàng: Súc miệng bằng nước muối ấm sau 24 giờ, chải răng cẩn thận các vùng lân cận.
- Không hút thuốc, không uống rượu bia trong ít nhất 3-5 ngày sau nhổ.
Cần làm gì khi nghi ngờ vết thương bị nhiễm trùng?
Khi nghi ngờ vết thương bị nhiễm trùng, việc đầu tiên và quan trọng nhất là liên hệ ngay lập tức với nha sĩ hoặc phòng khám đã điều trị cho bạn. Tuyệt đối không tự ý mua thêm kháng sinh hoặc đắp các loại lá, thuốc dân gian lên vết thương.
Việc xử trí nhiễm trùng cần có sự can thiệp của y tế. Càng trì hoãn, tình trạng sẽ càng trở nên phức tạp.
Các bước xử trí
- Gọi điện ngay cho nha sĩ: Mô tả rõ ràng các triệu chứng bạn đang gặp phải (đau như thế nào, sưng ra sao, có sốt không…). Bác sĩ sẽ đưa ra lời khuyên ban đầu và sắp xếp một cuộc hẹn khẩn cấp.
- Đến phòng khám để kiểm tra: Đừng trì hoãn cuộc hẹn này.
- Bác sĩ sẽ làm gì?:
- Thăm khám và chẩn đoán chính xác tình trạng.
- Gây tê và làm sạch lại huyệt ổ răng, bơm rửa kỹ để loại bỏ mủ, thức ăn và các mô hoại tử.
- Nếu có áp-xe, bác sĩ có thể sẽ cần rạch để dẫn lưu mủ ra ngoài.
- Kê một toa thuốc kháng sinh và chống viêm mạnh hơn, phù hợp với tình trạng nhiễm trùng.
- Hướng dẫn lại bạn cách chăm sóc tại nhà một cách chi tiết hơn.
NHA KHOA OTIS – LUÔN ĐỒNG HÀNH CÙNG BẠN SAU ĐIỀU TRỊ
Tại Nha khoa Otis, sự an toàn và quá trình hồi phục của bạn là ưu tiên hàng đầu của chúng tôi. Chúng tôi không chỉ thực hiện ca phẫu thuật trong điều kiện vô trùng tuyệt đối mà còn có một quy trình chăm sóc hậu phẫu chặt chẽ. Mỗi bệnh nhân sau khi nhổ răng đều được cung cấp số điện thoại đường dây nóng và được đội ngũ chăm sóc khách hàng chủ động gọi điện hỏi thăm. Nếu có bất kỳ dấu hiệu bất thường nào, chúng tôi sẽ sắp xếp cho bạn một cuộc hẹn tái khám miễn phí ngay lập tức. Hãy an tâm rằng bạn sẽ luôn được theo dõi và hỗ trợ một cách tận tình nhất cho đến khi vết thương lành hẳn.
- Địa chỉ: Số 25H Nguyễn Bỉnh Khiêm, phường Sài Gòn, Tp. HCM
- SĐT: 0888.625.825
- Fanpage: https://www.facebook.com/nhakhoaOtis/
- Website: otisdental.vn
