Skip to content
Nha Khoa Otis - 25h Nguyễn Bỉnh Khiêm, Quận 1
Nha Khoa Otis - 25h Nguyễn Bỉnh Khiêm, Quận 1
Đặt lịch hẹn
Tra cứu bệnh án
GIỚI THIỆU
DỊCH VỤ
Bọc răng sứ
Cạo vôi răng
Chữa cười hở lợi
Nhổ răng khôn
Niềng răng
Răng sứ thẩm mỹ
Tẩy trắng răng
Trám răng
Viêm lợi
Điều trị tủy
BẢNG GIÁ
KHUYẾN MÃI
LIÊN HỆ
KIẾN THỨC NHA KHOA
Đặt lịch hẹn
Tra cứu bệnh án
Messenger
Chat Zalo
Gọi điện
Tìm đường
Các bài viết về:
mòn men răng là gì
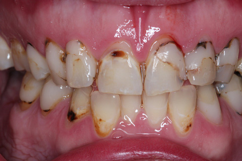
Mòn răng: Nguyên nhân, hậu quả và giải pháp phòng ngừa
Mòn răng là một vấn đề răng miệng phổ biến, ảnh hưởng đến sức khỏe [...]
24
Th10
GIỚI THIỆU
DỊCH VỤ
Bọc răng sứ
Cạo vôi răng
Chữa cười hở lợi
Nhổ răng khôn
Niềng răng
Răng sứ thẩm mỹ
Tẩy trắng răng
Trám răng
Viêm lợi
Điều trị tủy
BẢNG GIÁ
KHUYẾN MÃI
LIÊN HỆ
KIẾN THỨC NHA KHOA
VÒNG QUAY MAY MẮN
QUAY
Không bao giờ
Nhắc lại sau
Không, cảm ơn