Dáng răng vuông là một trong những xu hướng thẩm mỹ răng miệng đang được [...]
Dáng răng oval là một trong những kiểu dáng răng được ưa chuộng nhất hiện [...]
Dáng răng Celeb đang trở thành xu hướng thẩm mỹ không thể thiếu trong việc [...]
Dáng răng thỏ đang trở thành một trong những xu hướng thẩm mỹ hot nhất [...]
Lợi trùm là một vấn đề sức khỏe răng miệng thường gặp, ảnh hưởng đến [...]
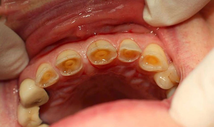
Mòn răng là một vấn đề phổ biến mà nhiều người gặp phải, nhưng không [...]
Răng nhiễm kháng sinh là một tình trạng phổ biến, nhưng không phải ai cũng [...]
Endocrown là một trong những khái niệm mới và tiên tiến trong lĩnh vực nha [...]
Sâu kẽ răng là một vấn đề răng miệng khá phổ biến mà nhiều người [...]
Mòn răng là một vấn đề răng miệng phổ biến, ảnh hưởng đến sức khỏe [...]